美容外科・美容皮膚科・審美歯科なら湘南美容クリニック
電話予約・電話問い合わせ 10:00~22:45対応 番号を通知してお電話ください 0120-489-100
Instagram
LINE
YouTube
公式アプリ
美容皮膚科
あなたに最適な美容メンテナンスをサポートします!
二重整形
これを見たらあなたも思わず二重にしたくなる♡
医療ダイエット
医療ダイエットをしたらマイナス何センチ?リアルな結果を発信中!
若返り
年齢別・お悩み別で「今やるべき美容医療」がわかる美容医療メディア
クマ取り
クマ取り失敗したくない方必見!成功の秘訣満載★
脂肪吸引
美は武器!夜職女性のための美の総合メディア
予約・お問い合わせ
美容外科 MENU
Language
メインメニュー
診療内容一覧
料金一覧
クリニック案内
ドクター一覧
モニター募集
症例写真
よくある質問
当院が選ばれる理由
当院の症例写真は、画像処理により形や大きさをかえるような処理は一切おこなっておりません。
多田彩子 医師
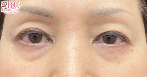
施術前
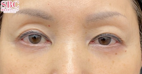
施術後3ヶ月後
施術した院
部位
施術
施術回数
数量
性別
【裏ハムラ法】裏ハムラ法とナノリッチ(目の下)、コンデンスリッチフェイス法(目の下・ゴルゴ)コールマン式を行い、施術直後ですが、術後は下まぶたが平らになり、明るい印象の目元になりました。エリア統括ドクター・安心の女医・多田彩子(元一般外科医・日本外科学会・日本抗加齢医学会正会員)にお悩みをお気軽にご相談下さい。お電話で多田医師&モニター番号でご予約、または以下のweb予約、HPのプロフィールのリンクからでも可能です。池袋西口院・辻堂院でモニター募集中です。若返りモニターNo.018-1048無料カウンセリング予約電話0120-5489-63Webサイト https://www.s-b-c.net/k_campaign/campaign018-1048.html****各種SNSは下記より****【インスタグラム】メインアカウント:@sbc_ayako.tada若返り・その他:@sbc_tada_othersツイッター:@sbc_tada★モニター様募集中★皆様のご応募お待ちしております!↓↓下のアイコンからご参照ください↓↓
施術担当者からのコメント
【裏ハムラ法】
裏ハムラ法とナノリッチ(目の下)、コンデンスリッチフェイス法(目の下・ゴルゴ)コールマン式を行い、
施術直後ですが、
術後は下まぶたが平らになり、明るい印象の目元になりました。
エリア統括ドクター・安心の女医・多田彩子(元一般外科医・日本外科学会・日本抗加齢医学会正会員)にお悩みをお気軽にご相談下さい。
お電話で多田医師&モニター番号でご予約、または以下のweb予約、HPのプロフィールのリンクからでも可能です。
池袋西口院・辻堂院でモニター募集中です。
若返りモニターNo.018-1048
無料カウンセリング予約電話0120-5489-63
Webサイト https://www.s-b-c.net/k_campaign/campaign018-1048.html
****各種SNSは下記より****
【インスタグラム】
メインアカウント:@sbc_ayako.tada
若返り・その他:@sbc_tada_others
ツイッター:@sbc_tada
★モニター様募集中★
皆様のご応募お待ちしております!
↓↓下のアイコンからご参照ください↓↓