症例写真(No.355415)

当院の症例写真は、画像処理により形や大きさをかえるような処理は一切おこなっておりません。

照屋旭平 医師

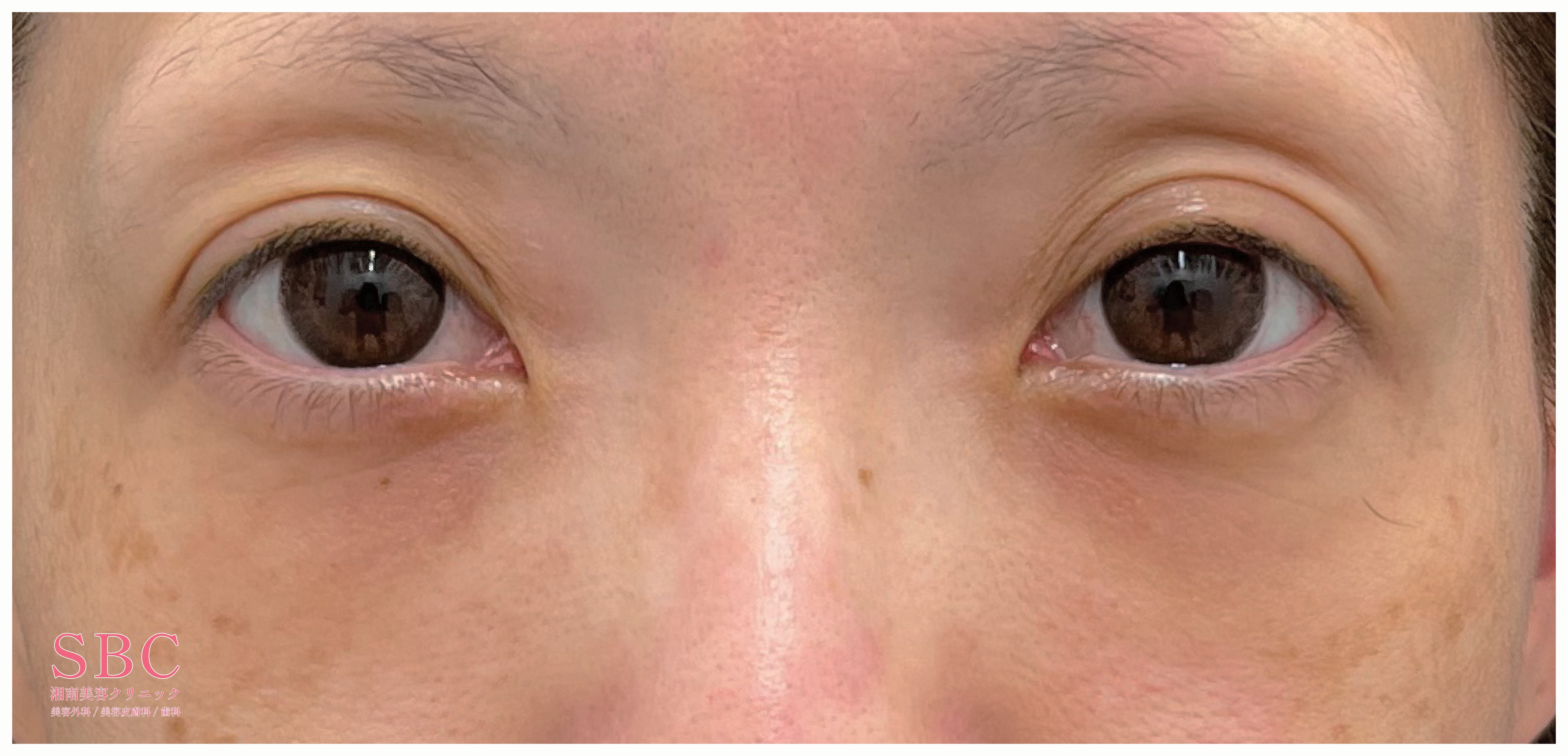
No.355415【若返り】★コスパ最強の若返り・アンチエイジング★ 目の下の切らないクマ取り+コンデンスリッチ脂肪注入+ナノリッチ脂肪注入【クマゼロ宣言 】術後1ヶ月

施術前

BEFORE
→

施術後1ヶ月後

AFTER
→

施術後1ヶ月後

メイクあり

すべての画像を見る

施術した院

部位

施術

施術回数

数量

性別

施術担当者からのコメント

クマ取りには、多数のパラメータがあります。
今回のモニター様は”裏ハムラ”でお施術を行いました。

しわ、ふくらみの量、へこみの位置、など・・
センスと丁寧さが物を言います!
自分の希望を最大限叶えてくれるドクター選びがとても重要です。
照屋は経皮的脱脂、経結膜的脱脂、脂肪注入、幹細胞脂肪注入なども可能なので
総合的な提案が出来ます!

これまで圧倒的にダウンタイムに拘ってきました。
腫れ、内出血を軽減する方法を実施しております。
詳しくはカウンセリングでお伝えしますね。

無料カウンセリングの
ご予約はこちらから↓
鹿児島中央院直通
0120-123-651

★インスタグラムでも症例写真をご紹介しております★
@sbc_teruya
@kumatori_teru

鹿児島中央院公式アカウント
@sbc_kagoshima

ぜひご覧下さい♪



×

当院におけるワクチン接種後の治療間隔(ガイドライン)

美容皮膚科、美容外科小手術

前後3日(手術日は含まず)、自覚する副反応がなければ可
安心麻酔を使用するものは接種後1週間は空ける

美容外科中、大手術

前後1週間
副反応が残っている場合は延期
接種部位と手術部位が同じ場合は2週間は空ける

×

お急ぎの方はお電話ください

0120-489-100

受付時間 / 10:00~23:00