美容外科・美容皮膚科・審美歯科なら湘南美容クリニック
電話予約・電話問い合わせ 10:00~22:45対応 番号を通知してお電話ください 0120-489-100
Instagram
LINE
YouTube
公式アプリ
美容皮膚科
あなたに最適な美容メンテナンスをサポートします!
二重整形
これを見たらあなたも思わず二重にしたくなる♡
医療ダイエット
医療ダイエットをしたらマイナス何センチ?リアルな結果を発信中!
若返り
年齢別・お悩み別で「今やるべき美容医療」がわかる美容医療メディア
クマ取り
クマ取り失敗したくない方必見!成功の秘訣満載★
脂肪吸引
美は武器!夜職女性のための美の総合メディア
予約・お問い合わせ
美容外科 MENU
Language
メインメニュー
診療内容一覧
料金一覧
クリニック案内
ドクター一覧
モニター募集
症例写真
よくある質問
当院が選ばれる理由
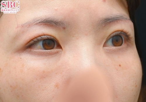
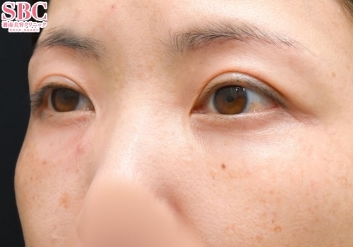
当院の症例写真は、画像処理により形や大きさをかえるような処理は一切おこなっておりません。
進藤彰人 医師
施術前
施術後3ヶ月後
施術した院
部位
施術
施術回数
数量
性別
目の上のたるみ・目の開き・目の下のクマ、さらに目の下からゴルゴラインの凹みを同日に治療いたしました。目元の印象が変わったことで、見違えるほど若々しく。しっかり効果を出しつつも、仕上がりはあくまでも「自然」に。美容整形は不自然になる時代は終わりました。自然に若返りたい、たるみがなかった頃に戻したい方はご相談ください。【モニターのお客様】40代眉下切開(眉下リフト)クマ取り脂肪注入(コンデンスリッチ)目の下?ゴルゴ埋没二重 クイックコスメティークNeo・ダブル
施術担当者からのコメント
目の上のたるみ・目の開き・目の下のクマ、さらに目の下からゴルゴラインの凹みを同日に治療いたしました。
目元の印象が変わったことで、見違えるほど若々しく。
しっかり効果を出しつつも、仕上がりはあくまでも「自然」に。
美容整形は不自然になる時代は終わりました。
自然に若返りたい、たるみがなかった頃に戻したい方はご相談ください。
【モニターのお客様】
40代
眉下切開(眉下リフト)
クマ取り
脂肪注入(コンデンスリッチ)目の下?ゴルゴ
埋没二重 クイックコスメティークNeo・ダブル