美容外科・美容皮膚科・審美歯科なら湘南美容クリニック
電話予約・電話問い合わせ 10:00~22:45対応 番号を通知してお電話ください 0120-489-100
Instagram
LINE
YouTube
公式アプリ
美容皮膚科
あなたに最適な美容メンテナンスをサポートします!
二重整形
これを見たらあなたも思わず二重にしたくなる♡
医療ダイエット
医療ダイエットをしたらマイナス何センチ?リアルな結果を発信中!
若返り
年齢別・お悩み別で「今やるべき美容医療」がわかる美容医療メディア
クマ取り
クマ取り失敗したくない方必見!成功の秘訣満載★
脂肪吸引
美は武器!夜職女性のための美の総合メディア
予約・お問い合わせ
美容外科 MENU
Language
メインメニュー
診療内容一覧
料金一覧
クリニック案内
ドクター一覧
モニター募集
症例写真
よくある質問
当院が選ばれる理由
当院の症例写真は、画像処理により形や大きさをかえるような処理は一切おこなっておりません。
金沢豪 医師
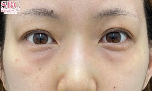
施術前
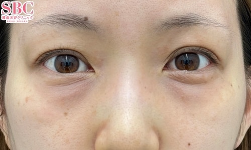
施術後3ヶ月後
施術した院
部位
施術
施術回数
数量
性別
裏ハムラ法は、脂肪注入をしなくても綺麗に仕上げることができますが、脂肪注入を併用することでさらにフラットでハリのある目元にすることができます。特にナノリッチ脂肪注入は色クマの改善にも効果的です。--------------------------------30代 女性[ 今回の施術内容 ]▼裏ハムラ法▼ナノリッチ▼コンデンスリッチ(ゴルゴ)モニター番号|No.031-0589モニターURL|https://www.s-b-c.net/k_campaign/campaign031-0589.html--------------------------------[ 実績 ]裏ハムラ法 SBC内症例数中四国エリアNo.1※2025年上半期--------------------------------【裏ハムラ】は皮膚の表側は切らずに、瞼の裏からアプローチします。眼窩脂肪を取らずに目の下に移動して固定させる事で、注入無しでクマの改善ができる治療です。※安易な脱脂は目の下も上も凹ませるリスクがあるので注意。さらに注入でごまかす必要が少なくなるのでコスパも良いです!私はクマ治療を全て行える数少ない美容外科医であり、経結膜脱脂、脂肪注入、裏ハムラ、アイバックリムーブ、切開ハムラ、眼輪筋弁吊り上げ、修正手術までクマ治療を全てご案内可能です。一人ひとりの適応を見極め、最適なご案内をしております。クマで悩まれている方は、ぜひ一度カウンセリングへお越しください。ご予約をお待ちしております。
施術担当者からのコメント
裏ハムラ法は、脂肪注入をしなくても綺麗に仕上げることができますが、
脂肪注入を併用することでさらにフラットでハリのある目元にすることができます。
特にナノリッチ脂肪注入は色クマの改善にも効果的です。
--------------------------------
30代 女性
[ 今回の施術内容 ]
▼裏ハムラ法
▼ナノリッチ
▼コンデンスリッチ(ゴルゴ)
モニター番号|No.031-0589
モニターURL|https://www.s-b-c.net/k_campaign/campaign031-0589.html
--------------------------------
[ 実績 ]
裏ハムラ法 SBC内症例数
中四国エリアNo.1
※2025年上半期
--------------------------------
【裏ハムラ】は皮膚の表側は切らずに、瞼の裏からアプローチします。
眼窩脂肪を取らずに目の下に移動して固定させる事で、注入無しでクマの改善ができる治療です。
※安易な脱脂は目の下も上も凹ませるリスクがあるので注意。
さらに注入でごまかす必要が少なくなるのでコスパも良いです!
私はクマ治療を全て行える数少ない美容外科医であり、
経結膜脱脂、脂肪注入、裏ハムラ、アイバックリムーブ、切開ハムラ、眼輪筋弁吊り上げ、修正手術までクマ治療を全てご案内可能です。
一人ひとりの適応を見極め、最適なご案内をしております。
クマで悩まれている方は、ぜひ一度カウンセリングへお越しください。
ご予約をお待ちしております。