美容外科・美容皮膚科・審美歯科なら湘南美容クリニック
電話予約・電話問い合わせ 10:00~22:45対応 番号を通知してお電話ください 0120-489-100
Instagram
LINE
YouTube
公式アプリ
美容皮膚科
あなたに最適な美容メンテナンスをサポートします!
二重整形
これを見たらあなたも思わず二重にしたくなる♡
医療ダイエット
医療ダイエットをしたらマイナス何センチ?リアルな結果を発信中!
若返り
年齢別・お悩み別で「今やるべき美容医療」がわかる美容医療メディア
クマ取り
クマ取り失敗したくない方必見!成功の秘訣満載★
脂肪吸引
美は武器!夜職女性のための美の総合メディア
予約・お問い合わせ
美容外科 MENU
Language
メインメニュー
診療内容一覧
料金一覧
クリニック案内
ドクター一覧
モニター募集
症例写真
よくある質問
当院が選ばれる理由
当院の症例写真は、画像処理により形や大きさをかえるような処理は一切おこなっておりません。
深田賢吾 医師
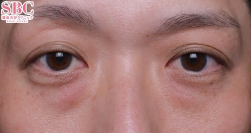
施術前
施術後1ヶ月後
施術した院
部位
施術
施術回数
数量
性別
目の下のクマには、脂肪による膨らみが原因のものがございます。・「なんだか目の下が膨らんでいるな」・「もともとぽこっと目の下がふくれている」・「お化粧しても隠せないな」そんな悩みを抱えている方にはクマ取り治療がおすすめです!お顔の表面に傷付けることなく、ダウンタイムもそこまで長くはないので、大変人気で満足度が高い治療になっております。「クマ取りKING」と呼ばれ、症例数も豊富です。お得なモニター様も募集しております。ぜひ一度無料カウンセリングにお越しください。
施術担当者からのコメント
目の下のクマには、脂肪による膨らみが原因のものがございます。
・「なんだか目の下が膨らんでいるな」
・「もともとぽこっと目の下がふくれている」
・「お化粧しても隠せないな」
そんな悩みを抱えている方には
クマ取り治療がおすすめです!
お顔の表面に傷付けることなく、ダウンタイムも
そこまで長くはないので、
大変人気で満足度が高い治療になっております。
「クマ取りKING」と呼ばれ、症例数も豊富です。
お得なモニター様も募集しております。
ぜひ一度無料カウンセリングにお越しください。