美容外科・美容皮膚科・審美歯科なら湘南美容クリニック
電話予約・電話問い合わせ 10:00~22:45対応 番号を通知してお電話ください 0120-489-100
Instagram
LINE
YouTube
公式アプリ
美容皮膚科
あなたに最適な美容メンテナンスをサポートします!
二重整形
これを見たらあなたも思わず二重にしたくなる♡
医療ダイエット
医療ダイエットをしたらマイナス何センチ?リアルな結果を発信中!
若返り
年齢別・お悩み別で「今やるべき美容医療」がわかる美容医療メディア
クマ取り
クマ取り失敗したくない方必見!成功の秘訣満載★
脂肪吸引
美は武器!夜職女性のための美の総合メディア
予約・お問い合わせ
美容外科 MENU
Language
メインメニュー
診療内容一覧
料金一覧
クリニック案内
ドクター一覧
モニター募集
症例写真
よくある質問
当院が選ばれる理由
当院の症例写真は、画像処理により形や大きさをかえるような処理は一切おこなっておりません。
佐藤圭之輔 医師
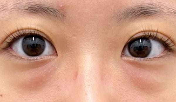
施術前
施術後1ヶ月後
施術した院
部位
施術
施術回数
数量
性別
施術内容:目の下の切らないくまたるみ取り+ナチュラル脂肪注射コンデンスリッチ(目の下+ゴルゴ)【実績】・脱脂、裏ハムラ、表ハムラ全て対応可・ドクター見学受け入れ【若がり治療佐藤圭之輔】ナチュラルな仕上がり、バレにくい、腫れにくいだけど圧倒的変化で大好評お客様お一人一人に全力で向き合いオーダーメイドの若返り治療を提供しています!若返り治療ドクター佐藤圭之輔の施術は・磨き上げた美のセンス・技術力高さ、知識力の多さ・1ミリ単位のこだわりナチュラルに綺麗になりたいそのお気持ちに寄り添います。
施術担当者からのコメント
施術内容:
目の下の切らないくまたるみ取り+ナチュラル脂肪注射コンデンスリッチ(目の下+ゴルゴ)
【実績】
・脱脂、裏ハムラ、表ハムラ全て対応可
・ドクター見学受け入れ
【若がり治療佐藤圭之輔】
ナチュラルな仕上がり、バレにくい、腫れにくい
だけど圧倒的変化で大好評
お客様お一人一人に全力で向き合い
オーダーメイドの若返り治療を提供しています!
若返り治療ドクター佐藤圭之輔の施術は
・磨き上げた美のセンス
・技術力高さ、知識力の多さ
・1ミリ単位のこだわり
ナチュラルに綺麗になりたい
そのお気持ちに寄り添います。