症例写真(No.356322)

当院の症例写真は、画像処理により形や大きさをかえるような処理は一切おこなっておりません。

河村江里樺 医師

No.356322【若返り】【切らないクマ取り×ナチュラル脂肪注射】【女医】クマ取りで疲れ顔を解消します。

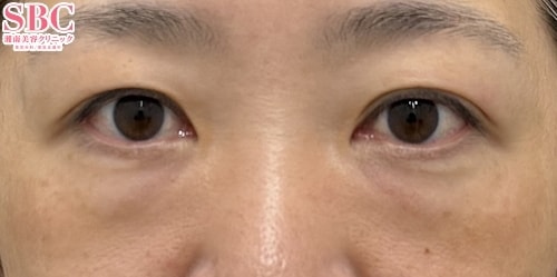
施術前

40代女性  目の下に眼窩脂肪の膨らみがあります。
→

施術後1ヶ月後

40代女性 眼窩脂肪を脱脂し、脂肪注入でハリのある目元へ。
すべての画像を見る

施術した院

部位

施術

施術回数

数量

性別

施術担当者からのコメント

「目の下の切らないクマ取り+目の下・ゴルゴのナチュラル脂肪注射」の症例になります。

クマがあることで実年齢より老けて見えたり、疲れた印象を与えてしまいます。
切らないクマ取りなら傷跡が残る心配もなく、安心して施術を受けていただけます。

女医の美的センスと丁寧なカウンセリングで、皆様の理想を叶えるお手伝いをさせていただきます。
若返りの相談ならお任せください。
カウンセリングでお気軽にご相談くださいね♪



×

当院におけるワクチン接種後の治療間隔(ガイドライン)

美容皮膚科、美容外科小手術

前後3日(手術日は含まず)、自覚する副反応がなければ可
安心麻酔を使用するものは接種後1週間は空ける

美容外科中、大手術

前後1週間
副反応が残っている場合は延期
接種部位と手術部位が同じ場合は2週間は空ける