症例写真(No.356391)

当院の症例写真は、画像処理により形や大きさをかえるような処理は一切おこなっておりません。

完山依里子 医師

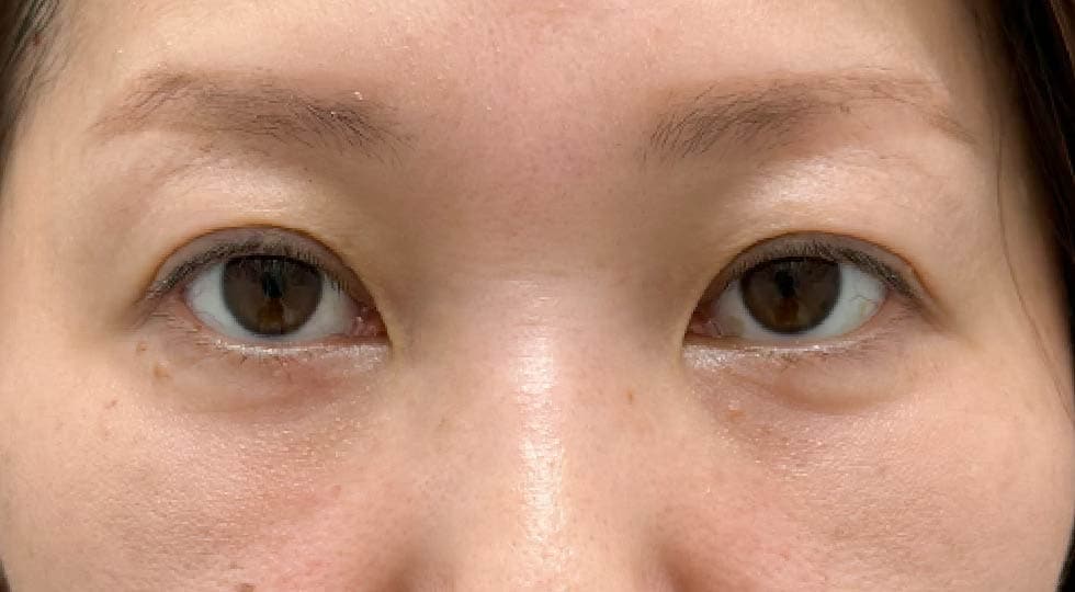
No.356391【若返り】【クマ取り裏ハムラ+ナチュラル脂肪注射ナノリッチ】★裏ハムラ全国女医No.1☆2025年上半期SBC内症例数★

施術前

目の下の凹みと膨らみ
→

施術後1ヶ月後

目元が明るくなりました
すべての画像を見る

施術した院

部位

施術

施術回数

数量

性別

施術担当者からのコメント

こんなお悩みはありませんか?

☆なんか疲れて見える
☆実年齢より老けて見られる
☆涙袋がない
☆目の下がむくんで見える
目の下の切らないクマ・たるみ(ふくらみ)取りはこの「くま」の原因となる眼窩脂肪を除去することにより目の下のたるみやふくらみを改善させ、目まわりの印象を若返らせる治療です。
いろんなアイケア商品がありますが、1度出来たたるみ・ふくらみは自力で治すのは困難です。

下まぶたの眼窩脂肪が生まれつき多い方や、加齢、眼精疲労に伴い皮膚や眼輪筋のたるみにより支えきれなくなった眼窩脂肪が押し出された場合、下まぶたにたるみ(目袋)が形成されます。
たるみに伴って凹凸が目立ってくると「影」ができるようになり一般的には「くま」と表 現されます。

まずはカウンセリングからお越しください☆
お悩みの方、まずはカウンセリングにお越しください。お待ちしてます。



×

当院におけるワクチン接種後の治療間隔(ガイドライン)

美容皮膚科、美容外科小手術

前後3日(手術日は含まず)、自覚する副反応がなければ可
安心麻酔を使用するものは接種後1週間は空ける

美容外科中、大手術

前後1週間
副反応が残っている場合は延期
接種部位と手術部位が同じ場合は2週間は空ける