美容外科・美容皮膚科・審美歯科なら湘南美容クリニック
電話予約・電話問い合わせ 10:00~22:45対応 番号を通知してお電話ください 0120-489-100
Instagram
LINE
YouTube
公式アプリ
美容皮膚科
あなたに最適な美容メンテナンスをサポートします!
二重整形
これを見たらあなたも思わず二重にしたくなる♡
医療ダイエット
医療ダイエットをしたらマイナス何センチ?リアルな結果を発信中!
若返り
年齢別・お悩み別で「今やるべき美容医療」がわかる美容医療メディア
クマ取り
クマ取り失敗したくない方必見!成功の秘訣満載★
脂肪吸引
美は武器!夜職女性のための美の総合メディア
予約・お問い合わせ
美容外科 MENU
Language
メインメニュー
診療内容一覧
料金一覧
クリニック案内
ドクター一覧
モニター募集
症例写真
よくある質問
当院が選ばれる理由
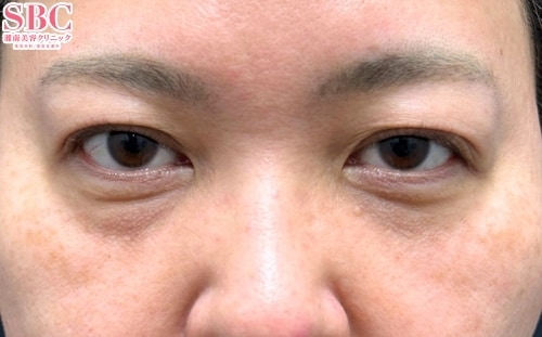
当院の症例写真は、画像処理により形や大きさをかえるような処理は一切おこなっておりません。
松阪佑介 医師
施術前
施術後1ヶ月後
施術した院
部位
施術
施術回数
数量
性別
3冠達成!外科・皮膚科・満足度すべてにおいてNo.1を獲得した最強の美容ドクター!★SBC AWARD 最優秀ドクター★★目元切開・クマ治療満足度No.1★★脂肪吸引症例数西日本No.1★★ヒアルロン酸症例数西日本No.1★ーーーーーーーーーーーーーーーーーーーーーーーーーーーーーーーーーーーーーーーーーー脂肪注入に抵抗やご不安がある方でも、仕上がりのキレイなクマ治療が可能な裏ハムラ法のみで施術しています。裏ハムラ法とは、目の下のふくらみの原因である「眼窩脂肪(がんかしぼう)」を移動させて、整える治療です。膨らんでいる部分からくぼんでいる部分に眼窩脂肪を移動させることで、膨らみと溝を同時に改善し、フラットな状態にすることができるため、眼窩脂肪を切り離すことなくクマを改善することができます。施術はまぶたの裏側から行うので表面に傷ができないのも嬉しいポイントです。太ももからの脂肪採取や顔への注入に抵抗のある方は、是非ハムラ法をご検討ください。あなたのクマはどの施術に適応があるのか、カウンセリングで瞬時に判断いたします。どうぞお気軽にご相談ください。ーーーーーーーーーーーーーーーーーーーーーーーーーーーーーーーーーーーーーーーーーー松阪医師が提唱する東大式=「minimal luxury」は、最小限の治療で最大限の効果を生むことを表します。美容外科は神が作った身体にメスを入れ、注射をし、構造やバランスを変えるという畏れ多い行為の上に成り立っています。現代の医学でできることには当然限界がありますが、「最高学府×最大手」で培ってきた知識と技術で、あなたの120%の魅力を引き出せるように誠心誠意お手伝いさせていただきます。「同窓会で会った友人に褒められた」「垢抜けたねと驚かれた」「鏡を見るのが楽しくなった」そう言ったお声をいただけるのが何よりの楽しみです。いつでもご来院をお待ちしております。
施術担当者からのコメント
3冠達成!
外科・皮膚科・満足度すべてにおいてNo.1を獲得した最強の美容ドクター!
★SBC AWARD 最優秀ドクター★
★目元切開・クマ治療満足度No.1★
★脂肪吸引症例数西日本No.1★
★ヒアルロン酸症例数西日本No.1★
ーーーーーーーーーーーーーーーーーーーーーーーーーーーーーーーーーーーーーーーーーー
脂肪注入に抵抗やご不安がある方でも、仕上がりのキレイなクマ治療が可能な裏ハムラ法のみで施術しています。
裏ハムラ法とは、目の下のふくらみの原因である「眼窩脂肪(がんかしぼう)」を移動させて、整える治療です。
膨らんでいる部分からくぼんでいる部分に眼窩脂肪を移動させることで、膨らみと溝を同時に改善し、フラットな状態にすることができるため、眼窩脂肪を切り離すことなくクマを改善することができます。
施術はまぶたの裏側から行うので表面に傷ができないのも嬉しいポイントです。
太ももからの脂肪採取や顔への注入に抵抗のある方は、是非ハムラ法をご検討ください。
あなたのクマはどの施術に適応があるのか、カウンセリングで瞬時に判断いたします。どうぞお気軽にご相談ください。
ーーーーーーーーーーーーーーーーーーーーーーーーーーーーーーーーーーーーーーーーーー
松阪医師が提唱する東大式=「minimal luxury」は、最小限の治療で最大限の効果を生むことを表します。
美容外科は神が作った身体にメスを入れ、注射をし、構造やバランスを変えるという畏れ多い行為の上に成り立っています。
現代の医学でできることには当然限界がありますが、「最高学府×最大手」で培ってきた知識と技術で、あなたの120%の魅力を引き出せるように誠心誠意お手伝いさせていただきます。
「同窓会で会った友人に褒められた」「垢抜けたねと驚かれた」「鏡を見るのが楽しくなった」
そう言ったお声をいただけるのが何よりの楽しみです。いつでもご来院をお待ちしております。