美容外科・美容皮膚科・審美歯科なら湘南美容クリニック
電話予約・電話問い合わせ 10:00~22:45対応 番号を通知してお電話ください 0120-489-100
Instagram
LINE
YouTube
公式アプリ
美容皮膚科
あなたに最適な美容メンテナンスをサポートします!
二重整形
これを見たらあなたも思わず二重にしたくなる♡
医療ダイエット
医療ダイエットをしたらマイナス何センチ?リアルな結果を発信中!
若返り
年齢別・お悩み別で「今やるべき美容医療」がわかる美容医療メディア
クマ取り
クマ取り失敗したくない方必見!成功の秘訣満載★
脂肪吸引
美は武器!夜職女性のための美の総合メディア
予約・お問い合わせ
美容外科 MENU
Language
メインメニュー
診療内容一覧
料金一覧
クリニック案内
ドクター一覧
モニター募集
症例写真
よくある質問
当院が選ばれる理由
当院の症例写真は、画像処理により形や大きさをかえるような処理は一切おこなっておりません。
青柳萌花 医師
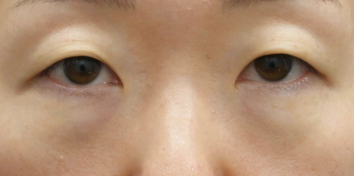
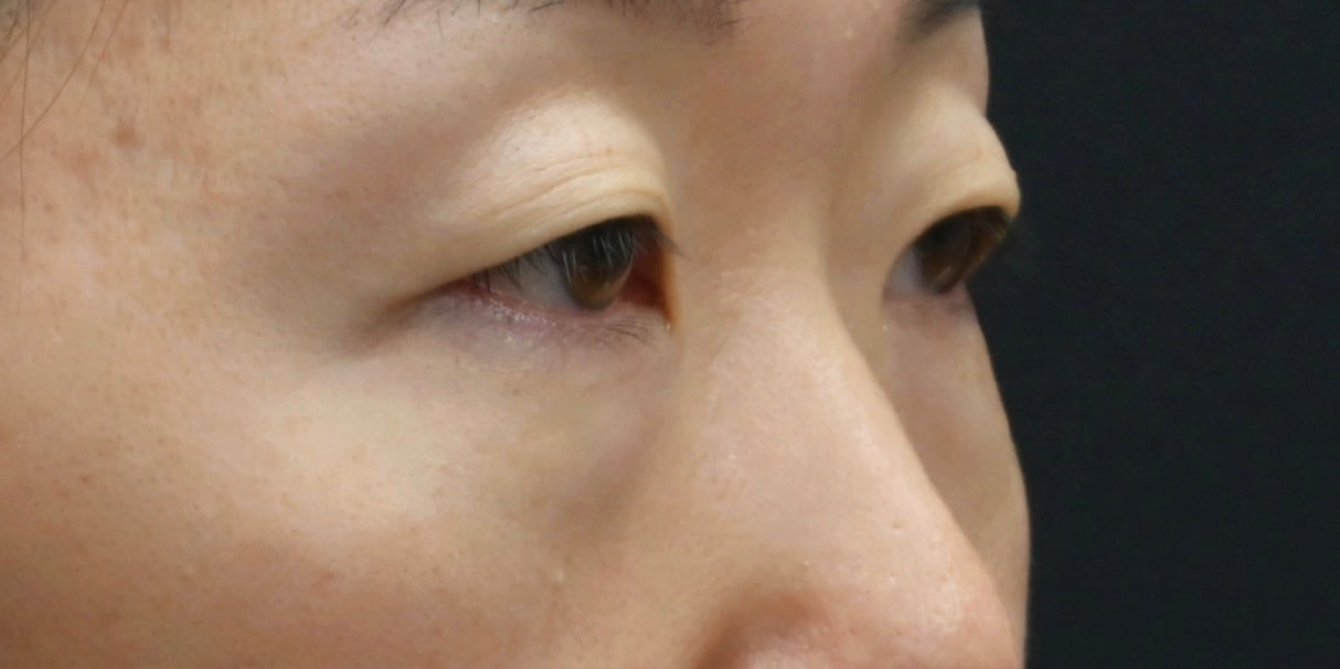
施術前
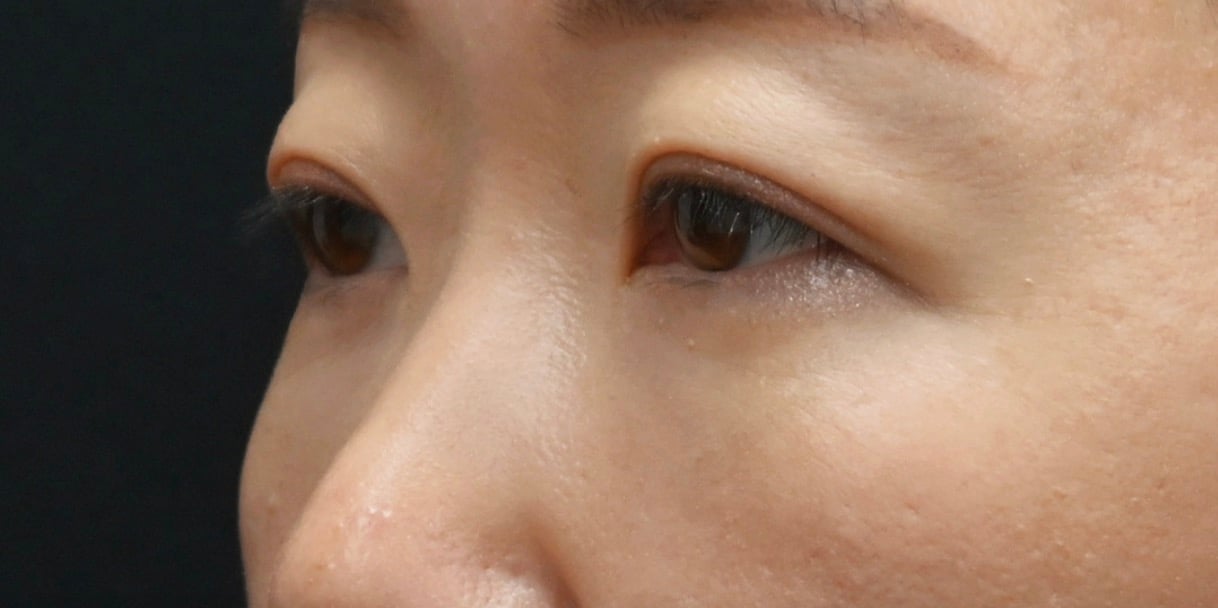
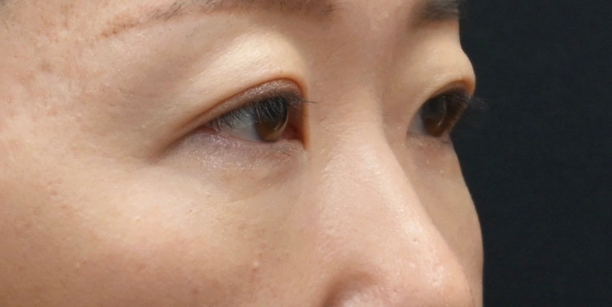
施術後1ヶ月後
施術した院
部位
施術
施術回数
数量
性別
「目の下のクマっていりますか?」貫禄を出したい方以外は、クマがあっていいことはない気がします。一番みられる、目元をナチュラルに若返り。【施術詳細】・目の下切らないたるみとり目の下~ゴルゴ・コンデンスリッチ目の下~ゴルゴ・ナノリッチ目の下二重術・フォーエバー二重術---------------------------------------------------デザインに、仕上がりに、こだわります。「美的センス、手先の器用さ」で選ばれるもえか先生にお任せください!----------------------------------------------------二子玉川院 院長若返りmuseこと青柳萌花医師\若返り治療に力を入れています!/絶賛モニター様を募集中です★SNSでダウンタイムや完成のお写真など日々の症例を多数掲載しております。☆Instagram毎日更新中☆“@sbc_moeka_aoyagi”で検索☆TikTokでも配信中☆先生のお人柄を知れる場所!“sbc_aoyagi”で検索☆YouTubeでも配信中☆先生の真面目な解説動画やプライベートな内容まで盛りだくさん!“若返り女神 美容外科医 青柳萌花の美容整形チャンネル”で検索!
施術担当者からのコメント
「目の下のクマっていりますか?」
貫禄を出したい方以外は、
クマがあっていいことはない気がします。
一番みられる、目元をナチュラルに若返り。
【施術詳細】
・目の下切らないたるみとり
目の下~ゴルゴ
・コンデンスリッチ目の下~ゴルゴ
・ナノリッチ目の下
二重術
・フォーエバー二重術
---------------------------------------------------
デザインに、
仕上がりに、こだわります。
「美的センス、手先の器用さ」で選ばれる
もえか先生にお任せください!
----------------------------------------------------
二子玉川院 院長
若返りmuseこと青柳萌花医師
\若返り治療に力を入れています!/
絶賛モニター様を募集中です★
SNSでダウンタイムや完成のお写真など
日々の症例を多数掲載しております。
☆Instagram毎日更新中☆
“@sbc_moeka_aoyagi”で検索
☆TikTokでも配信中☆
先生のお人柄を知れる場所!
“sbc_aoyagi”で検索
☆YouTubeでも配信中☆
先生の真面目な解説動画やプライベートな内容まで盛りだくさん!
“若返り女神 美容外科医 青柳萌花の美容整形チャンネル”で検索!