美容外科・美容皮膚科・審美歯科なら湘南美容クリニック
電話予約・電話問い合わせ 10:00~22:45対応 番号を通知してお電話ください 0120-489-100
Instagram
LINE
YouTube
公式アプリ
美容皮膚科
あなたに最適な美容メンテナンスをサポートします!
二重整形
これを見たらあなたも思わず二重にしたくなる♡
医療ダイエット
医療ダイエットをしたらマイナス何センチ?リアルな結果を発信中!
若返り
年齢別・お悩み別で「今やるべき美容医療」がわかる美容医療メディア
クマ取り
クマ取り失敗したくない方必見!成功の秘訣満載★
脂肪吸引
美は武器!夜職女性のための美の総合メディア
予約・お問い合わせ
美容外科 MENU
Language
メインメニュー
診療内容一覧
料金一覧
クリニック案内
ドクター一覧
モニター募集
症例写真
よくある質問
当院が選ばれる理由
当院の症例写真は、画像処理により形や大きさをかえるような処理は一切おこなっておりません。
金沢豪 医師
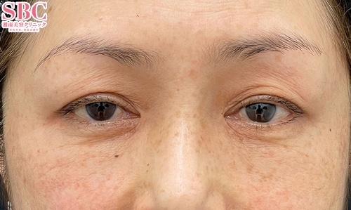
施術前
施術後1ヶ月後
施術した院
部位
施術
施術回数
数量
性別
脂肪注入で叶える窪み目治療。コンデンスリッチフェイスのお問い合わせ急増中です!--------------------------------50代 女性[ 今回の施術内容 ]▼コンデンスリッチフェイス脂肪注入全顔入れ放題▼ナノリッチ(目の下)モニター番号|No.031-0593モニターURL|https://www.s-b-c.net/k_campaign/campaign031-0593.html--------------------------------[ 実績 ]コンデンスリッチフェイス SBC内症例数中四国エリアNo.1※2023年下半期ナノリッチ SBC内症例数中四国エリアNo.1※2023年下半期--------------------------------【コンデンスリッチフェイス脂肪注入全顔入れ放題】とは、ご自身の太ももなどから採取した脂肪から、質の良い細胞(コンデンスリッチ)だけを濃縮し、ゴツゴツした額やこめかみ、目の上、ほうれい線、頬といった気になる箇所に注入し、ふっくらと若々しい印象を取り戻す治療法です。下記のような方におすすめです。・ほほ・こめかみがこけてきた・女性らしい「まんまるおでこ」に憧れる・目の上が凹んでいる・自然に若返りたい・いらない脂肪を有効活用したい自分の細胞を使うので、アレルギーの心配が少なく、定着した脂肪は半永久的にあなたのものになりますよ。気になる方は、まずはカウンセリングにお越しください。たくさんのご予約をお待ちしております。
施術担当者からのコメント
脂肪注入で叶える窪み目治療。
コンデンスリッチフェイスのお問い合わせ急増中です!
--------------------------------
50代 女性
[ 今回の施術内容 ]
▼コンデンスリッチフェイス脂肪注入全顔入れ放題
▼ナノリッチ(目の下)
モニター番号|No.031-0593
モニターURL|https://www.s-b-c.net/k_campaign/campaign031-0593.html
--------------------------------
[ 実績 ]
コンデンスリッチフェイス SBC内症例数
中四国エリアNo.1
※2023年下半期
ナノリッチ SBC内症例数
中四国エリアNo.1
※2023年下半期
--------------------------------
【コンデンスリッチフェイス脂肪注入全顔入れ放題】とは、ご自身の太ももなどから採取した脂肪から、
質の良い細胞(コンデンスリッチ)だけを濃縮し、ゴツゴツした額やこめかみ、目の上、ほうれい線、頬といった気になる箇所に注入し、
ふっくらと若々しい印象を取り戻す治療法です。
下記のような方におすすめです。
・ほほ・こめかみがこけてきた
・女性らしい「まんまるおでこ」に憧れる
・目の上が凹んでいる
・自然に若返りたい
・いらない脂肪を有効活用したい
自分の細胞を使うので、アレルギーの心配が少なく、定着した脂肪は半永久的にあなたのものになりますよ。
気になる方は、まずはカウンセリングにお越しください。
たくさんのご予約をお待ちしております。