美容外科・美容皮膚科・審美歯科なら湘南美容クリニック
電話予約・電話問い合わせ 10:00~22:45対応 番号を通知してお電話ください 0120-489-100
Instagram
LINE
YouTube
公式アプリ
美容皮膚科
あなたに最適な美容メンテナンスをサポートします!
二重整形
これを見たらあなたも思わず二重にしたくなる♡
医療ダイエット
医療ダイエットをしたらマイナス何センチ?リアルな結果を発信中!
若返り
年齢別・お悩み別で「今やるべき美容医療」がわかる美容医療メディア
クマ取り
クマ取り失敗したくない方必見!成功の秘訣満載★
脂肪吸引
美は武器!夜職女性のための美の総合メディア
予約・お問い合わせ
美容外科 MENU
Language
メインメニュー
診療内容一覧
料金一覧
クリニック案内
ドクター一覧
モニター募集
症例写真
よくある質問
当院が選ばれる理由
当院の症例写真は、画像処理により形や大きさをかえるような処理は一切おこなっておりません。
奥一誠 医師
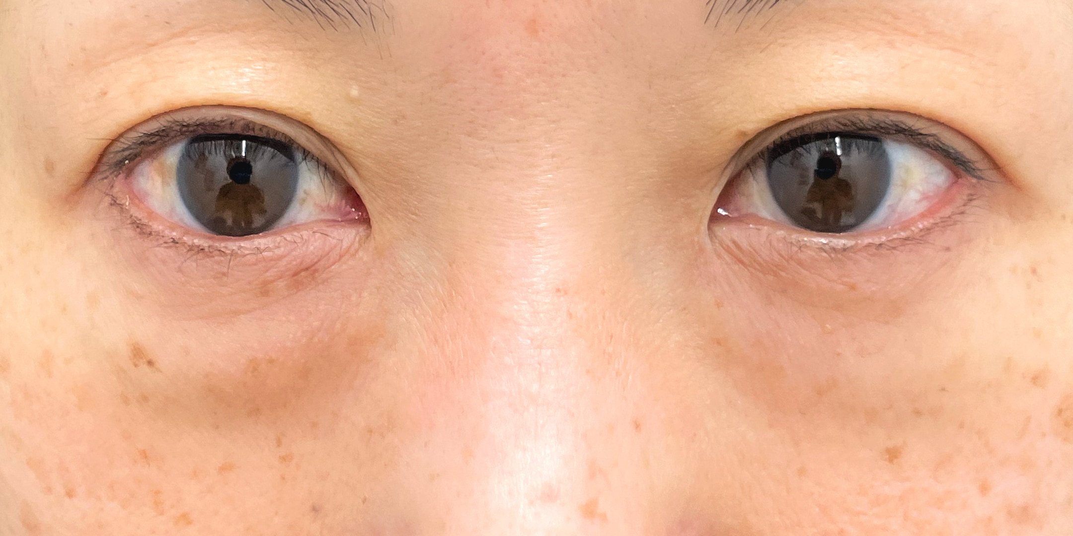
施術前
施術後3ヶ月後
施術した院
部位
施術
施術回数
数量
性別
脱脂から切開、脂肪注入まで全てのクマ取り治療の執刀が可能!クマ取り施術なら奥医師にお任せください!==========================【目の下の切らないクマたるみ取りとは】たるみの原因「目袋3脂肪」をまぶたの裏側から除去する治療です。お客様一人ひとりに合わせて適切な量の脂肪を取り除き、除去量によって値段が変わる事はありません。また、裏側からのアプローチのため傷跡は残りません。==========================【ナチュラル脂肪注射コンデンスリッチとは】ご自身の脂肪を注入することで、注入箇所にハリと潤いを蘇らせ、ふっくらとして丸みを帯びた健康的な素顔を形成することができます。また採取した脂肪は、遠心分離にかけ、コンデンス(濃縮)技術で不純物を除去、健全な濃縮脂肪細胞=コンデンスリッチファット(CRF) だけを注入するため、高い定着率を実現し、吸引した脂肪を最大限に活かせる若返り法です。==========================【ナチュラル脂肪注射ナノリッチとは】ナチュラル脂肪注射コンデンスリッチをさらに研ぎ澄まし、ナノ化した脂肪注入の方法です。脂肪細胞に含まれる繊維組織を除去して滑らかにし、脂肪から極少量しか取れない研ぎ澄まされた良質な幹細胞と小さな脂肪からなる不純物の少ない極小脂肪を注入します。顔の浅いしわや色味、肌質の改善が期待できます。Dr.奥の二重術が選ばれる理由・スタッフ本人、ご家族、ご友人の施術を数多く担当・親身なカウンセリング・丁寧なデザイン・美的センスの高さ・関東で修行した高い技術力丁寧な診察で、お一人お一人に合わせたデザインで施術させていただきます。お気軽にご相談ください。★instagram絶賛更新中★【奥医師担当】@sbc_okuインスタグラムではリアルタイムで沢山の症例写真や施術動画をあげています!
施術担当者からのコメント
脱脂から切開、脂肪注入まで全てのクマ取り治療の執刀が可能!
クマ取り施術なら奥医師にお任せください!
==========================
【目の下の切らないクマたるみ取りとは】
たるみの原因「目袋3脂肪」をまぶたの裏側から除去する治療です。
お客様一人ひとりに合わせて適切な量の脂肪を取り除き、除去量によって値段が変わる事はありません。
また、裏側からのアプローチのため傷跡は残りません。
==========================
【ナチュラル脂肪注射コンデンスリッチとは】
ご自身の脂肪を注入することで、注入箇所にハリと潤いを蘇らせ、ふっくらとして丸みを帯びた健康的な素顔を形成することができます。
また採取した脂肪は、遠心分離にかけ、コンデンス(濃縮)技術で不純物を除去、健全な濃縮脂肪細胞=コンデンスリッチファット(CRF) だけを注入するため、高い定着率を実現し、吸引した脂肪を最大限に活かせる若返り法です。
==========================
【ナチュラル脂肪注射ナノリッチとは】
ナチュラル脂肪注射コンデンスリッチをさらに研ぎ澄まし、ナノ化した脂肪注入の方法です。
脂肪細胞に含まれる繊維組織を除去して滑らかにし、脂肪から極少量しか取れない研ぎ澄まされた良質な幹細胞と小さな脂肪からなる不純物の少ない極小脂肪を注入します。顔の浅いしわや色味、肌質の改善が期待できます。
Dr.奥の二重術が選ばれる理由
・スタッフ本人、ご家族、ご友人の施術を数多く担当
・親身なカウンセリング
・丁寧なデザイン
・美的センスの高さ
・関東で修行した高い技術力
丁寧な診察で、お一人お一人に合わせたデザインで施術させていただきます。
お気軽にご相談ください。
★instagram絶賛更新中★
【奥医師担当】
@sbc_oku
インスタグラムではリアルタイムで沢山の症例写真や
施術動画をあげています!