美容外科・美容皮膚科・審美歯科なら湘南美容クリニック
電話予約・電話問い合わせ 10:00~22:45対応 番号を通知してお電話ください 0120-489-100
Instagram
LINE
YouTube
公式アプリ
美容皮膚科
あなたに最適な美容メンテナンスをサポートします!
二重整形
これを見たらあなたも思わず二重にしたくなる♡
医療ダイエット
医療ダイエットをしたらマイナス何センチ?リアルな結果を発信中!
若返り
年齢別・お悩み別で「今やるべき美容医療」がわかる美容医療メディア
クマ取り
クマ取り失敗したくない方必見!成功の秘訣満載★
脂肪吸引
美は武器!夜職女性のための美の総合メディア
予約・お問い合わせ
美容外科 MENU
Language
メインメニュー
診療内容一覧
料金一覧
クリニック案内
ドクター一覧
モニター募集
症例写真
よくある質問
当院が選ばれる理由
当院の症例写真は、画像処理により形や大きさをかえるような処理は一切おこなっておりません。
藤塚紗良 医師
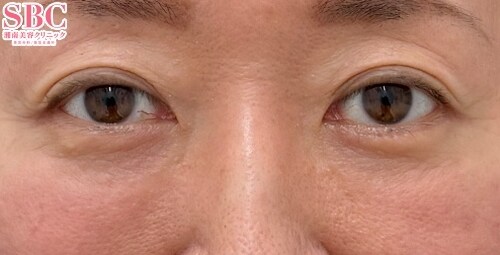
施術前
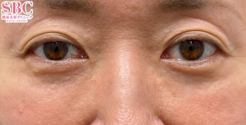
施術後3ヶ月後
施術した院
部位
施術
施術回数
数量
性別
50代女性/術前 → 術後3ヶ月《施術内容》・切開ハムラ法(下眼瞼切開+眼窩脂肪移動)【経過コメント】目の下のふくらみとたるみをしっかり改善し、若々しく明るい印象の目元になりました。目の下がスッキリするだけで、お顔全体の印象がぐっと若返ります。【施術の説明・メリット】加齢や体質によって目立ってくる「目の下の膨らみ」と「皮膚のたるみ」を同時に解消する施術です。膨らみの原因である眼窩脂肪を適切に移動させ、さらにたるんだ皮膚も引き締めることで、目元が自然で若々しい印象に。こんな方におすすめ・目の下のふくらみが気になる・皮膚のたるみ(しわ)も一緒に改善したい・疲れて見える・老けて見える印象を変えたい・自然で長持ちする若返り効果を求めている【ドクターコメント】目元の印象はお顔全体の印象を左右します。自然な若返りを叶えるために、細部までこだわったデザイン・手技を心がけています。丁寧なカウンセリングで一人ひとりのお悩みに寄り添い、理想の仕上がりをご提案いたします。まずはお気軽に無料カウンセリングへ執刀医:湘南美容クリニック新横浜院 藤塚紗良――――――――――――――――【お問い合わせ】湘南美容クリニック新横浜院TEL:0120-966-620
施術担当者からのコメント
50代女性/術前 → 術後3ヶ月
《施術内容》
・切開ハムラ法(下眼瞼切開+眼窩脂肪移動)
【経過コメント】
目の下のふくらみとたるみをしっかり改善し、若々しく明るい印象の目元になりました。
目の下がスッキリするだけで、お顔全体の印象がぐっと若返ります。
【施術の説明・メリット】
加齢や体質によって目立ってくる「目の下の膨らみ」と「皮膚のたるみ」を同時に解消する施術です。
膨らみの原因である眼窩脂肪を適切に移動させ、さらにたるんだ皮膚も引き締めることで、目元が自然で若々しい印象に。
こんな方におすすめ
・目の下のふくらみが気になる
・皮膚のたるみ(しわ)も一緒に改善したい
・疲れて見える・老けて見える印象を変えたい
・自然で長持ちする若返り効果を求めている
【ドクターコメント】
目元の印象はお顔全体の印象を左右します。
自然な若返りを叶えるために、細部までこだわったデザイン・手技を心がけています。
丁寧なカウンセリングで一人ひとりのお悩みに寄り添い、理想の仕上がりをご提案いたします。
まずはお気軽に無料カウンセリングへ
執刀医:湘南美容クリニック新横浜院 藤塚紗良
――――――――――――――――
【お問い合わせ】
湘南美容クリニック新横浜院
TEL:0120-966-620