美容外科・美容皮膚科・審美歯科なら湘南美容クリニック
電話予約・電話問い合わせ 10:00~22:45対応 番号を通知してお電話ください 0120-489-100
Instagram
LINE
YouTube
公式アプリ
美容皮膚科
あなたに最適な美容メンテナンスをサポートします!
二重整形
これを見たらあなたも思わず二重にしたくなる♡
医療ダイエット
医療ダイエットをしたらマイナス何センチ?リアルな結果を発信中!
若返り
年齢別・お悩み別で「今やるべき美容医療」がわかる美容医療メディア
クマ取り
クマ取り失敗したくない方必見!成功の秘訣満載★
脂肪吸引
美は武器!夜職女性のための美の総合メディア
予約・お問い合わせ
美容外科 MENU
Language
メインメニュー
診療内容一覧
料金一覧
クリニック案内
ドクター一覧
モニター募集
症例写真
よくある質問
当院が選ばれる理由
当院の症例写真は、画像処理により形や大きさをかえるような処理は一切おこなっておりません。
藤塚紗良 医師
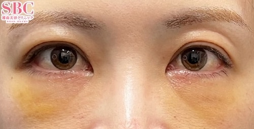
施術前
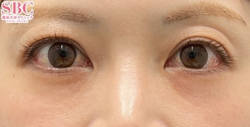
施術後3ヶ月後
施術した院
部位
施術
施術回数
数量
性別
30代女性/術前 → 術後3ヶ月《施術内容》・裏ハムラ法(経結膜的眼窩脂肪移動術)【経過コメント】目の下のふくらみが自然にフラットになり、明るく若々しい印象の目元に。傷が表に出ないため、術後もナチュラルな仕上がりです。目の下がスッキリするだけで、お顔全体の印象が大きく変わります。【施術の説明・メリット】加齢や体質によって目立ってくる「目の下の膨らみ(眼窩脂肪)」を、まぶたの裏側からアプローチして自然に整える施術です。膨らんだ脂肪をへこみ部分に移動させることで、ふくらみと影の両方を改善し、なめらかで立体的な若々しい目元を実現します。・表に傷がつかない(皮膚を切らない)・仕上がりが自然でバレにくい・ダウンタイムが比較的少ない・長期的な効果が期待できる\こんな方におすすめ/・目の下のふくらみや影が気になる・疲れて見える、老けて見える印象を改善したい・自然な仕上がりと長持ちする効果を求めている【ドクターコメント】裏ハムラ法は、眼窩脂肪を切除することなく膨らみと凹みを同時に解消することができます。丁寧なカウンセリングで一人ひとりに合わせた施術を心がけています。まずはお気軽に無料カウンセリングへお越しください。執刀医:湘南美容クリニック新横浜院 院長 藤塚紗良――――――――――――――――【お問い合わせ】湘南美容クリニック新横浜院TEL: 0120-859-726
施術担当者からのコメント
30代女性/術前 → 術後3ヶ月
《施術内容》
・裏ハムラ法(経結膜的眼窩脂肪移動術)
【経過コメント】
目の下のふくらみが自然にフラットになり、明るく若々しい印象の目元に。
傷が表に出ないため、術後もナチュラルな仕上がりです。
目の下がスッキリするだけで、お顔全体の印象が大きく変わります。
【施術の説明・メリット】
加齢や体質によって目立ってくる「目の下の膨らみ(眼窩脂肪)」を、
まぶたの裏側からアプローチして自然に整える施術です。
膨らんだ脂肪をへこみ部分に移動させることで、ふくらみと影の両方を改善し、
なめらかで立体的な若々しい目元を実現します。
・表に傷がつかない(皮膚を切らない)
・仕上がりが自然でバレにくい
・ダウンタイムが比較的少ない
・長期的な効果が期待できる
\こんな方におすすめ/
・目の下のふくらみや影が気になる
・疲れて見える、老けて見える印象を改善したい
・自然な仕上がりと長持ちする効果を求めている
【ドクターコメント】
裏ハムラ法は、眼窩脂肪を切除することなく膨らみと凹みを同時に解消することができます。
丁寧なカウンセリングで一人ひとりに合わせた施術を心がけています。
まずはお気軽に無料カウンセリングへお越しください。
執刀医:湘南美容クリニック新横浜院 院長 藤塚紗良
――――――――――――――――
【お問い合わせ】
湘南美容クリニック新横浜院
TEL: 0120-859-726