美容外科・美容皮膚科・審美歯科なら湘南美容クリニック
電話予約・電話問い合わせ 10:00~22:45対応 番号を通知してお電話ください 0120-489-100
Instagram
LINE
YouTube
公式アプリ
美容皮膚科
あなたに最適な美容メンテナンスをサポートします!
二重整形
これを見たらあなたも思わず二重にしたくなる♡
医療ダイエット
医療ダイエットをしたらマイナス何センチ?リアルな結果を発信中!
若返り
年齢別・お悩み別で「今やるべき美容医療」がわかる美容医療メディア
クマ取り
クマ取り失敗したくない方必見!成功の秘訣満載★
脂肪吸引
美は武器!夜職女性のための美の総合メディア
予約・お問い合わせ
美容外科 MENU
Language
メインメニュー
診療内容一覧
料金一覧
クリニック案内
ドクター一覧
モニター募集
症例写真
よくある質問
当院が選ばれる理由
当院の症例写真は、画像処理により形や大きさをかえるような処理は一切おこなっておりません。
大井篤史 医師
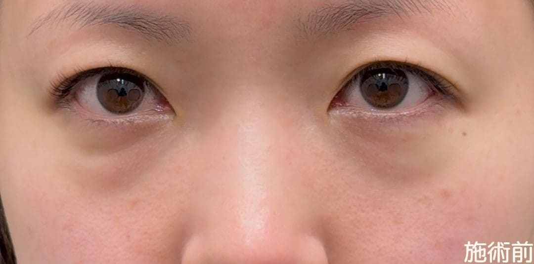
施術前
施術後3ヶ月後
施術した院
部位
施術
施術回数
数量
性別
湘南美容クリニック那覇院の大井篤史です!この度は私の症例写真をご覧いただき誠にありがとうございます。こちらは30代の女性で、「目の下の切らないクマ取り」を受けていただきました。目の下のふくらみによる影グマがお悩みでご来院されました。ゴルゴ線の凹みもあり脂肪注入も適応ではありましたが、ご予算やダウンタイムなどからまずはクマ取りのみ行うことになりました。術後3カ月、目元はかなり若返りもともとあった涙袋もくっきり現れてきました。一番の悩みが解消できたと大変うれしいお言葉をいただきました!施術にはリスクも伴いますが、時間をかけしっかりとお話を聞きご希望を叶える手伝いをすることをモットーとしておりますので、ぜひお気軽にカウンセリングにお越しください!☆元心臓外科医・外科専門医のDr.大井があなたの理想を叶えます☆親切丁寧なカウンセリングをお約束します☆無理に施術を勧めることも一切ありません★★instagramやってます!★★@sbc_oi二重、クマ取りなどを中心に症例写真多数掲載中!!湘南美容クリニック 那覇院フリーダイヤル 0120-659-020大井 篤史
施術担当者からのコメント
湘南美容クリニック那覇院の大井篤史です!この度は私の症例写真をご覧いただき誠にありがとうございます。
こちらは30代の女性で、「目の下の切らないクマ取り」を受けていただきました。
目の下のふくらみによる影グマがお悩みでご来院されました。ゴルゴ線の凹みもあり脂肪注入も適応ではありましたが、ご予算やダウンタイムなどからまずはクマ取りのみ行うことになりました。
術後3カ月、目元はかなり若返りもともとあった涙袋もくっきり現れてきました。一番の悩みが解消できたと大変うれしいお言葉をいただきました!
施術にはリスクも伴いますが、時間をかけしっかりとお話を聞きご希望を叶える手伝いをすることをモットーとしておりますので、ぜひお気軽にカウンセリングにお越しください!
☆元心臓外科医・外科専門医のDr.大井があなたの理想を叶えます
☆親切丁寧なカウンセリングをお約束します
☆無理に施術を勧めることも一切ありません
★★instagramやってます!★★
@sbc_oi
二重、クマ取りなどを中心に症例写真多数掲載中!!
湘南美容クリニック 那覇院
フリーダイヤル 0120-659-020
大井 篤史