美容外科・美容皮膚科・審美歯科なら湘南美容クリニック
電話予約・電話問い合わせ 10:00~22:45対応 番号を通知してお電話ください 0120-489-100
Instagram
LINE
YouTube
公式アプリ
美容皮膚科
あなたに最適な美容メンテナンスをサポートします!
二重整形
これを見たらあなたも思わず二重にしたくなる♡
医療ダイエット
医療ダイエットをしたらマイナス何センチ?リアルな結果を発信中!
若返り
年齢別・お悩み別で「今やるべき美容医療」がわかる美容医療メディア
クマ取り
クマ取り失敗したくない方必見!成功の秘訣満載★
脂肪吸引
美は武器!夜職女性のための美の総合メディア
予約・お問い合わせ
美容外科 MENU
Language
メインメニュー
診療内容一覧
料金一覧
クリニック案内
ドクター一覧
モニター募集
症例写真
よくある質問
当院が選ばれる理由
当院の症例写真は、画像処理により形や大きさをかえるような処理は一切おこなっておりません。
進藤彰人 医師
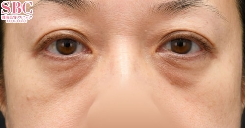
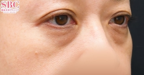
施術前
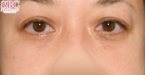
施術後3ヶ月後
施術した院
部位
施術
施術回数
数量
性別
施術内容目の下のクマ取り(脱脂術)ナチュラル脂肪注射コンデンスリッチ 目の下・ゴルゴラインナチュラル脂肪注射ナノリッチ 目の下・ゴルゴライン------------------目の下の膨らみのあるクマと色クマに悩んでいらっしゃる方でした。膨らみのあるクマはしっかり「脱脂」し、目の下、ゴルゴラインに脂肪注入でなめらかに、さらに細かいナノリッチを併用することで「色クマ」を解消。コンシーラーいらずの目元へ。若い方でもクマに悩んでいらっしゃる方はとても多いです。膨らみのあるクマに加えて、若い頃から「色クマ」に悩んでいる方からもたくさんご相談いただきます。数多くのお客様の目元を見てきた医師歴16年の知識と経験で細かく見極め、解消いたします。しっかりとお客様のクマやお悩みに合わせた治療をご提案しますので、ぜひ一度カウンセリングにお越しください。-------------\若返り治療に力を入れています!/絶賛モニター様を募集中ですSNSでダウンタイムや完成のお写真など日々の症例を多数掲載しております。Instagram更新中症例鋭意更新中!最新の症例をご覧いただけます!“@sbc_shindo”で検索TikTok更新中先生の症例・解説が片手間でご覧いただけます!“@sbc.shindo”で検索Youtube更新中糸リフトのDr.進藤 40代50代たるみ改善専門“@SBC-Dr.Shindo”で検索
施術担当者からのコメント
施術内容
目の下のクマ取り(脱脂術)
ナチュラル脂肪注射コンデンスリッチ 目の下・ゴルゴライン
ナチュラル脂肪注射ナノリッチ 目の下・ゴルゴライン
------------------
目の下の膨らみのあるクマと色クマに悩んでいらっしゃる方でした。
膨らみのあるクマはしっかり「脱脂」し、
目の下、ゴルゴラインに脂肪注入でなめらかに、さらに細かいナノリッチを併用することで「色クマ」を解消。
コンシーラーいらずの目元へ。
若い方でもクマに悩んでいらっしゃる方はとても多いです。
膨らみのあるクマに加えて、若い頃から「色クマ」に悩んでいる方からもたくさんご相談いただきます。
数多くのお客様の目元を見てきた医師歴16年の知識と経験で細かく見極め、解消いたします。
しっかりとお客様のクマやお悩みに合わせた治療をご提案しますので、ぜひ一度カウンセリングにお越しください。
-------------
\若返り治療に力を入れています!/
絶賛モニター様を募集中です
SNSでダウンタイムや完成のお写真など
日々の症例を多数掲載しております。
Instagram更新中
症例鋭意更新中!
最新の症例をご覧いただけます!
“@sbc_shindo”で検索
TikTok更新中
先生の症例・解説が片手間でご覧いただけます!
“@sbc.shindo”で検索
Youtube更新中
糸リフトのDr.進藤 40代50代たるみ改善専門
“@SBC-Dr.Shindo”で検索