症例写真(No.357189)

当院の症例写真は、画像処理により形や大きさをかえるような処理は一切おこなっておりません。

檜山和弘 医師

No.357189【若返り】【目の下のクマ治療!裏ハムラ+糸リフト=ハムラリフト】中顔面もふっくら上がった印象に!全国おすすめクマ治療Dr.選抜のDr.ルークひのきにお任せ!【ミッドチークリフト】

施術前

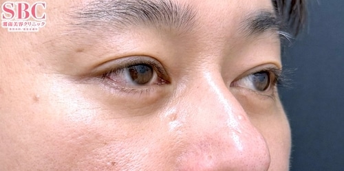
目の下のクマと皮膚のたるみがお悩みでした
→

施術後6ヶ月後

クマの膨らみと凹み+目の下のしわも同時に改善!
すべての画像を見る

施術した院

部位

施術

施術回数

数量

性別

関連症例写真

術前
6ヶ月後
術前
6ヶ月後

施術担当者からのコメント

40代後半男性/施術内容
・裏ハムラ
・下瞼たるみ取り
・テスリフト2本
・VOVリフト4本
・シークレットリフト4本

裏ハムラ法で、目の下の脂肪をとらずに移動させてクマを解決!
その後、糸リフトで中顔面を引き上げ癒着をサポートすることで
【クマ改善】&【チークUP】両方が目指せます★
クマの再発予防に最適な治療です!

★こだわりPOINT★

1. 繊細で丁寧な外科手技!
元心臓血管外科専門医で数多くの小児心臓手術を経験してきた高い外科技術を用いて、最小限の腫れと内出血を実現します。

2. ナチュラルな仕上がり!
脂肪をきちんと綺麗に剥がす技術、
また骨膜にしっかりと糸をかける技術にこだわりを持って行っています。

3. 痛みが最小限!
麻酔時に局所麻酔と神経ブロックを併用し、痛みを最小限に抑えます。

4. ダウンタイムが最小限!
施術時間は目の下の切らないクマ・たるみ(ふくらみ)取りのみだと約15分以内、脂肪注入を含めても40分以内なので、最小限のダウンタイムを実現します。

……………………………………………
【檜山院長の実績】
★SBCで唯一の元心臓血管外科専門医医師歴26年の信頼と実績がある
★アンチエイジング専門医資格あり!
★テスリフト 全国No.1(2021年下半期・2022年上半期・2023年下半期SBC内)
★美容針 全国No.1(2021年下半期SBC内)
★切開ハムラ全国No.1(2023年上半期SBC内)
★糸リフト全国No.2(2021年下半期・2022年度・2023年上半期SBC内)
★裏ハムラ東京エリアNo.3(2022年下半期・2023年度SBC内)

……………………………………………

★檜山医師instagramに症例多数掲載!
Instagram:sbc_hinokiyama



×

当院におけるワクチン接種後の治療間隔(ガイドライン)

美容皮膚科、美容外科小手術

前後3日(手術日は含まず)、自覚する副反応がなければ可
安心麻酔を使用するものは接種後1週間は空ける

美容外科中、大手術

前後1週間
副反応が残っている場合は延期
接種部位と手術部位が同じ場合は2週間は空ける

×

お急ぎの方はお電話ください

0120-489-100

受付時間 / 10:00~23:00