お急ぎの方はお電話ください
WEB予約
メンズ専用
LINE登録
オンラインストア
SBC公式アプリ
SBC 採用サイト
医療機関検索サイトアイメッド
定額制セルフエステ
当院の症例写真は、画像処理により形や大きさをかえるような処理は一切おこなっておりません。
藤井里奈 医師
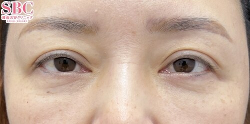
施術前
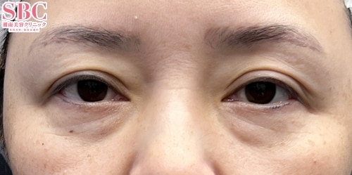
施術後1ヶ月後
施術した院
部位
施術
施術回数
数量
性別
若返りのご相談はりな先生にお任せください!女医ならではの目線でお悩みに寄り添い、解決のお手伝いをいたします。★コンデンスリッチ脂肪注入豊胸 関東・東日本女医 症例数No.1(東京除く/SBC内2025年上期)★VASER脂肪吸引 症例数 関東女医No.1(東京除く/SBC内2025年上期)★SBCベストショットアワード最優秀賞(2024年10月/2025年6月)\モニター様募集中/↓各種SNS↓Instagram(豊胸専門):@hokyo_dr_rinaInstagram:@scb_r.fujiiX:@sbc_rinaYoutube:@dr-rinaTiktok:@dr_rina.fujii
前後3日(手術日は含まず)、自覚する副反応がなければ可安心麻酔を使用するものは接種後1週間は空ける
前後1週間副反応が残っている場合は延期接種部位と手術部位が同じ場合は2週間は空ける
0120-489-100
受付時間 / 10:00~23:00
施術担当者からのコメント
若返りのご相談はりな先生にお任せください!
女医ならではの目線でお悩みに寄り添い、解決のお手伝いをいたします。
★コンデンスリッチ脂肪注入豊胸 関東・東日本女医 症例数No.1(東京除く/SBC内2025年上期)
★VASER脂肪吸引 症例数 関東女医No.1(東京除く/SBC内2025年上期)
★SBCベストショットアワード最優秀賞(2024年10月/2025年6月)
\モニター様募集中/
↓各種SNS↓
Instagram(豊胸専門):@hokyo_dr_rina
Instagram:@scb_r.fujii
X:@sbc_rina
Youtube:@dr-rina
Tiktok:@dr_rina.fujii