症例写真(No.357818)

当院の症例写真は、画像処理により形や大きさをかえるような処理は一切おこなっておりません。

大須直人 医師

No.357818【若返り】【若返り】【クマ取り】医師歴8年以上のベテラン院長による日帰りクマ取り治療で一気に若返り!【30代女性】【切らない治療で若返りに】

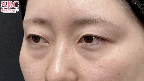
施術前

術前
→

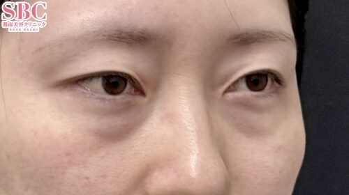
施術後1週間後

たるみが解消し、若々しい印象になっています!
すべての画像を見る

施術した院

部位

施術

施術回数

数量

性別

関連症例写真

術前
術後
術前
術後

施術担当者からのコメント

目元の疲れた印象が解消されると、自信を持って大切なハレの日を迎えられますよね!

お悩みと動機
目の下の膨らみ・クマが目立ち、疲れて老けた印象に…

施術内容:目の下の切らないクマ取り+脂肪注入
目の下の脂肪(眼窩脂肪)を移動・除去し、さらにコンデンスリッチという質の良い脂肪を注入することで、
凹凸のない若々しい目元に仕上げます。

目の下の切らないクマ取り:膨らみの原因となる脂肪を取り除きます。

コンデンスリッチ(目の下・ゴルゴ):頬の凹みも自然にふっくらさせ、影を解消。

術後1週間の変化
目の下のたるみやクマが嘘のように解消され、明るく若々しい目元になりました!
ご本人様も「こんなに変わるなんて…!」と大変喜んでくださいました



×

当院におけるワクチン接種後の治療間隔(ガイドライン)

美容皮膚科、美容外科小手術

前後3日(手術日は含まず)、自覚する副反応がなければ可
安心麻酔を使用するものは接種後1週間は空ける

美容外科中、大手術

前後1週間
副反応が残っている場合は延期
接種部位と手術部位が同じ場合は2週間は空ける

×

お急ぎの方はお電話ください

0120-489-100

受付時間 / 10:00~23:00