症例写真(No.357937)

当院の症例写真は、画像処理により形や大きさをかえるような処理は一切おこなっておりません。

山下昭悟 医師

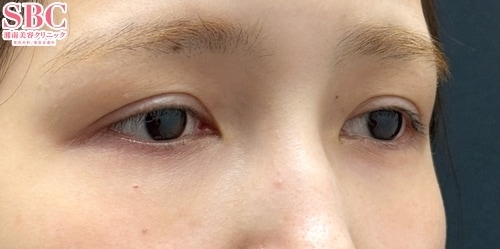
No.357937【若返り】【裏ハムラ法】【30代】自然に若見えするクマ取りが人気!神奈川県で選ばれる山下医師★SBC公式お薦めドクターに選出されました

施術前

術前
→

施術後1ヶ月後

クマが改善され、よりスッキリしたお目元に
すべての画像を見る

施術した院

部位

施術

施術回数

数量

性別

関連症例写真

直後
術前
1ヶ月後
術前
1ヶ月後

施術担当者からのコメント

ご覧いただきありがとうございます!

☆裏ハムラ法 執刀件数☆2年連続!関東No.1☆
(2023-2024年SBC内東京除く関東エリア)
藤沢院院長の山下昭悟です。

今回は、30代女性のモニター様の症例です。
目の下のクマを気にされてご来院されました。

【施術内容】
・裏ハムラ法

自然な仕上がりで目の下の膨らみが解消され
目元が明るくなり、若々しい印象になりました。

<裏ハムラ法とは?>
目の下のふくらみの原因である「眼窩脂肪(がんかしぼう)」を
移動させて、整え、膨らみと溝を同時に改善。

こだわりPOINT!
1. 脂肪を除去することなくクマを改善
2. 皮膚表面を切らないため傷跡が残りにくい
3. 痛みとダウンタイムを最小限に抑える

◆下まぶたのたるみ、クマが気になる…
◆目元を若返らせたい…
◆傷は残したくない…
など、小さなお悩みでもお気軽にご相談ください♪

湘南美容クリニックで取り扱いのあるクマ治療
(裏ハムラ法、切開ハムラ法、脱脂術、脂肪注入など)
\全て執刀可能◎/だからこそ
クマの原因をしっかり見極め、
ご予算やお休みの状況に合わせて
一人一人に合った適切な治療をご提案いたします☆

湘南美容クリニック藤沢院でお待ちしております!

◯神奈川県藤沢市南藤沢3番12号 クリオ藤沢駅前ビル4F
◯JR藤沢駅南口徒歩1分
◯9:00-18:00(最終カウンセリング受付時間:16:30)
◯定休日なし

----------------------------------------------------
インスタグラムにも多数症例載せてます!
ぜひ覗いてみてください★
Instagram:「@sbc_yamashita」で検索!
----------------------------------------------------



×

当院におけるワクチン接種後の治療間隔(ガイドライン)

美容皮膚科、美容外科小手術

前後3日(手術日は含まず)、自覚する副反応がなければ可
安心麻酔を使用するものは接種後1週間は空ける

美容外科中、大手術

前後1週間
副反応が残っている場合は延期
接種部位と手術部位が同じ場合は2週間は空ける

×

お急ぎの方はお電話ください

0120-489-100

受付時間 / 10:00~23:00