お急ぎの方はお電話ください
WEB予約
メンズ専用
LINE登録
オンラインストア
SBC e Gift
SBC公式アプリ
SBC 採用サイト
医療機関検索サイトアイメッド
定額制セルフエステ
当院の症例写真は、画像処理により形や大きさをかえるような処理は一切おこなっておりません。
庄聡史 医師
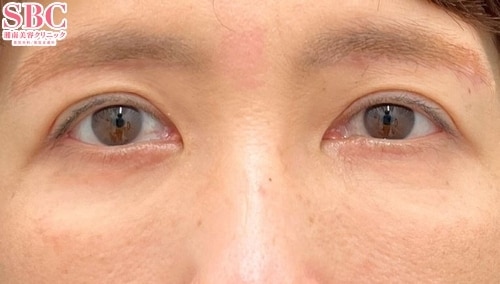
施術前
施術後1ヶ月後
施術後3ヶ月後
すべての画像を見る
施術した院
部位
施術
施術回数
数量
性別
大分院 院長の庄聡史です。ご覧いただきありがとうございます。【施術内容】・眉下リフト(眉下切開)・裏ハムラ<「眉下リフト」はこんな方におすすめ>★ 加齢によりまぶたがたるみ三角目になっている方★ 上まぶたが厚く腫れぼったい方★ 本来の二重のラインがたるみで見えなくなってしまっている方★ 一重や奥二重のまま、たるみだけを改善したい方★ まぶたのたるみが気になるが、ダウンタイムや傷を最小限にしたい方★ 眉とまぶたの間が広く、目尻が下がって見える方★ ダウンタイムを最小限にして眼瞼下垂を治したい方★ 目の開きを改善して黒目をはっきりと見せたい方ご相談、お見積もり、医師指名の料金はいただいておりません。お悩みがございましたら、お気軽にご相談くださいませ。〈Instagramにも症例写真を多数公開中です〉庄聡史医師アカウント:@sbc_shotime大分院アカウント:@sbc_oita_【 湘南美容クリニック大分院 】■ 大分県大分市中央町1丁目2-17 大分OPA 3階■ JR「大分駅」府内中央口(北口)より徒歩約5分■ 0120-883-156(電話受付 10:00-23:00)
前後3日(手術日は含まず)、自覚する副反応がなければ可安心麻酔を使用するものは接種後1週間は空ける
前後1週間副反応が残っている場合は延期接種部位と手術部位が同じ場合は2週間は空ける
施術担当者からのコメント
大分院 院長の庄聡史です。
ご覧いただきありがとうございます。
【施術内容】
・眉下リフト(眉下切開)
・裏ハムラ
<「眉下リフト」はこんな方におすすめ>
★ 加齢によりまぶたがたるみ三角目になっている方
★ 上まぶたが厚く腫れぼったい方
★ 本来の二重のラインがたるみで見えなくなってしまっている方
★ 一重や奥二重のまま、たるみだけを改善したい方
★ まぶたのたるみが気になるが、ダウンタイムや傷を最小限にしたい方
★ 眉とまぶたの間が広く、目尻が下がって見える方
★ ダウンタイムを最小限にして眼瞼下垂を治したい方
★ 目の開きを改善して黒目をはっきりと見せたい方
ご相談、お見積もり、医師指名の料金はいただいておりません。
お悩みがございましたら、お気軽にご相談くださいませ。
〈Instagramにも症例写真を多数公開中です〉
庄聡史医師アカウント:@sbc_shotime
大分院アカウント:@sbc_oita_
【 湘南美容クリニック大分院 】
■ 大分県大分市中央町1丁目2-17 大分OPA 3階
■ JR「大分駅」府内中央口(北口)より徒歩約5分
■ 0120-883-156(電話受付 10:00-23:00)