症例写真(No.358868)

当院の症例写真は、画像処理により形や大きさをかえるような処理は一切おこなっておりません。

奥一誠 医師

No.358868【若返り】【クマ取り】【ハムラ法】膨らんだ「眼窩脂肪」を凹みに移動してクマ解消!老け見え解消なら奥医師にお任せ!【施術3ヶ月後】【裏ハムラ法×ナチュラル脂肪注射ナノリッチ/コンデンスリッチ】

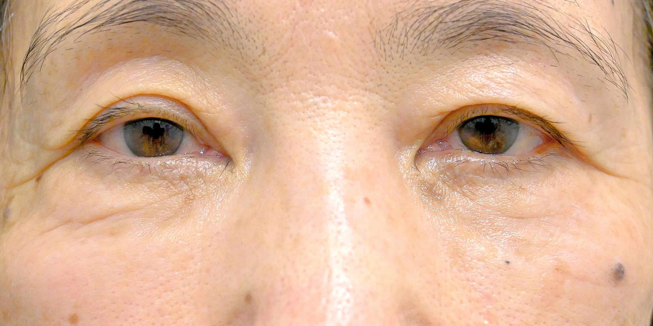
施術前

施術前の状態です。
→

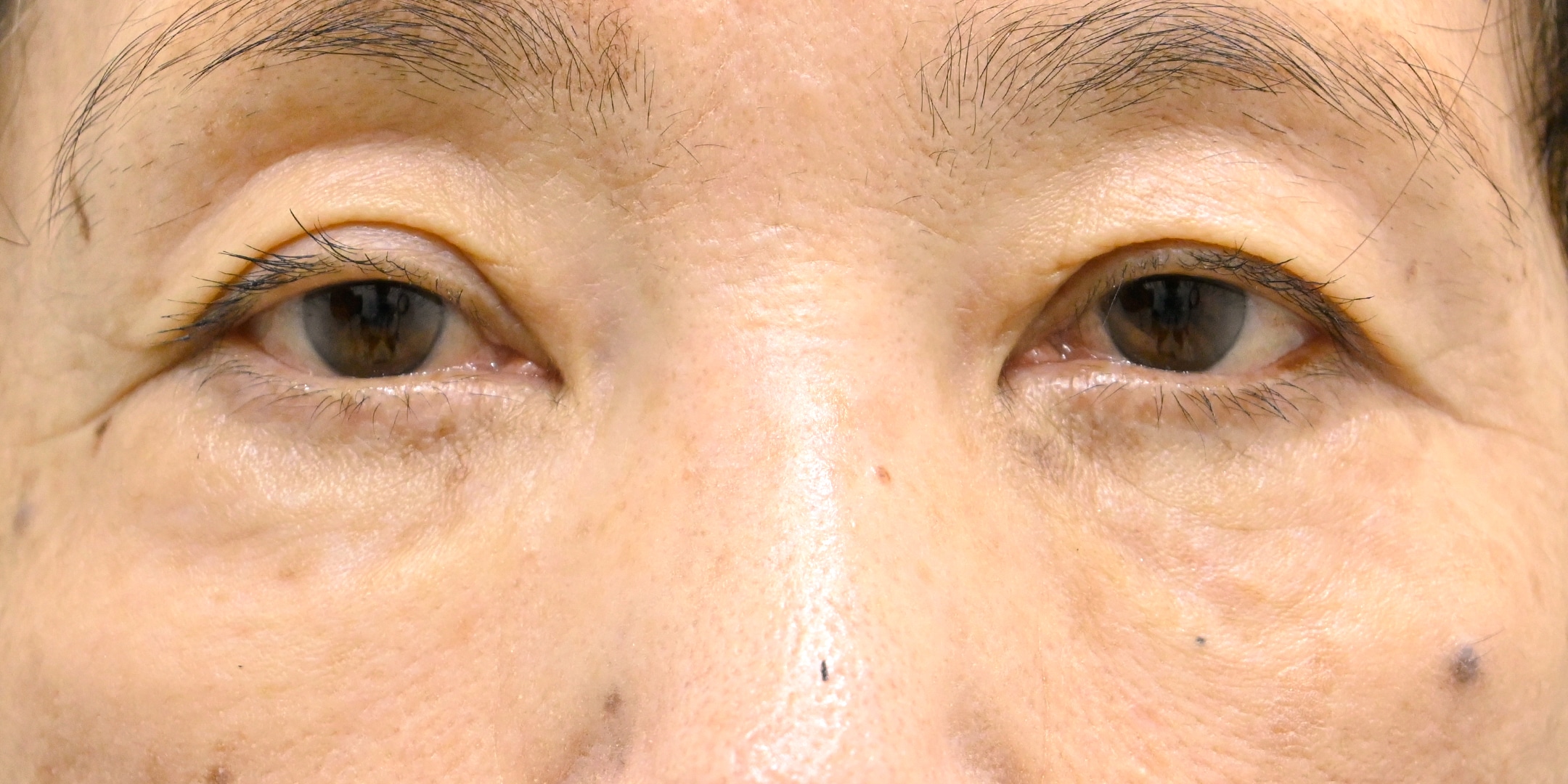
施術後3ヶ月後

術後3ヶ月、くまが改善し若々しい目元に!
すべての画像を見る

施術した院

部位

施術

施術回数

数量

性別

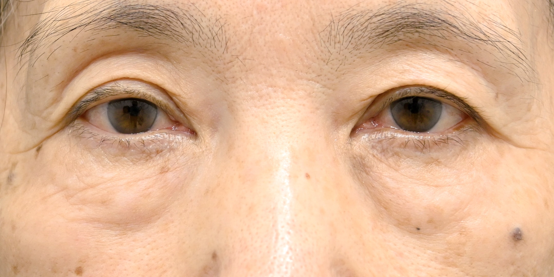
関連症例写真

術前
術後1週間
術後1ヶ月
術後3ヶ月

施術担当者からのコメント

脱脂から切開、脂肪注入まで全てのクマ取り治療の執刀が可能!
クマ取り施術なら奥医師にお任せください!

『涙袋の強調』『目袋の改善』『靭帯ヘコみの改善』『頬の陥凹の修復』が同時に叶ってしまう治療が、僕の裏ハムラです。
一般的に省略されることが多い靭帯処理や縫合固定ですが、当院ではしっかり手を抜かず行っておりますのでご安心ください。

==========================
【裏ハムラ法とは】
目の下の脂肪を取るのではなく、膨らんでいるところから窪んでいるところに移動させ、美しく整える方法です。
裏ハムラ法では下まぶたの裏側を切開して施術を行うため、
表面に傷が残ることはなく、外から見ても傷跡はわかりません。
==========================
【ナチュラル脂肪注射コンデンスリッチとは】
ご自身の脂肪を注入することで、注入箇所にハリと潤いを蘇らせ、ふっくらとして丸みを帯びた健康的な素顔を形成することができます。
また採取した脂肪は、遠心分離にかけ、コンデンス(濃縮)技術で不純物を除去、健全な濃縮脂肪細胞=コンデンスリッチファット(CRF) だけを注入するため、高い定着率を実現し、吸引した脂肪を最大限に活かせる若返り法です。
==========================
【ナチュラル脂肪注射ナノリッチとは】
ナチュラル脂肪注射コンデンスリッチをさらに研ぎ澄まし、ナノ化した脂肪注入の方法です。
脂肪細胞に含まれる繊維組織を除去して滑らかにし、脂肪から極少量しか取れない研ぎ澄まされた良質な幹細胞と小さな脂肪からなる不純物の少ない極小脂肪を注入します。顔の浅いしわや色味、肌質の改善が期待できます。

★Dr.奥の二重術が選ばれる理由★
・スタッフ本人、ご家族、ご友人の施術を数多く担当
・親身なカウンセリング
・丁寧なデザイン
・美的センスの高さ
・関東で修行した高い技術力
丁寧な診察で、お一人お一人に合わせたデザインで施術させていただきます。
お気軽にご相談ください。

★instagram絶賛更新中★
【奥医師担当】
@sbc_oku

インスタグラムではリアルタイムで沢山の症例写真や
施術動画をあげています!



×

当院におけるワクチン接種後の治療間隔(ガイドライン)

美容皮膚科、美容外科小手術

前後3日(手術日は含まず)、自覚する副反応がなければ可
安心麻酔を使用するものは接種後1週間は空ける

美容外科中、大手術

前後1週間
副反応が残っている場合は延期
接種部位と手術部位が同じ場合は2週間は空ける

×

お急ぎの方はお電話ください

0120-489-100

受付時間 / 10:00~23:00