症例写真(No.358996)

当院の症例写真は、画像処理により形や大きさをかえるような処理は一切おこなっておりません。

進藤彰人 医師

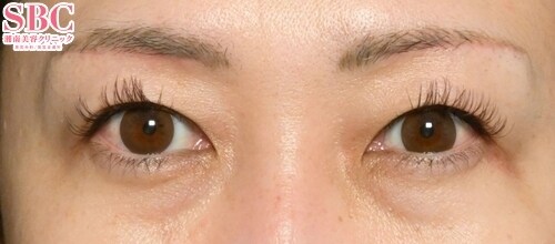
No.358996【若返り】目の上に乗っかった「たるみ」がなくなって若々しいお目元に【50代眉下切開】

施術前

まぶたのたるみが乗っかっており、重そうな目元
→

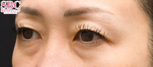
施術後3ヶ月後

たるみが改善されてすっきり
すべての画像を見る

施術した院

部位

施術

施術回数

数量

性別

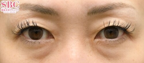
関連症例写真

術前
1週間後
3ヶ月後
術前
1週間後
3ヶ月後

施術担当者からのコメント

・加齢によりまぶたがたるみ三角目になっている方
・上まぶたが厚く腫れぼったい方
・本来の二重のラインがたるみで見えなくなってしまっている方
・目の開きが悪くて「おでこの筋肉で」目を開いている方
こんなお悩みの方には最適の治療です。

【モニターのお客様】
50代 女性
眉下リフト



×

当院におけるワクチン接種後の治療間隔(ガイドライン)

美容皮膚科、美容外科小手術

前後3日(手術日は含まず)、自覚する副反応がなければ可
安心麻酔を使用するものは接種後1週間は空ける

美容外科中、大手術

前後1週間
副反応が残っている場合は延期
接種部位と手術部位が同じ場合は2週間は空ける

×

お急ぎの方はお電話ください

0120-489-100

受付時間 / 10:00~23:00