症例写真(No.359465)

当院の症例写真は、画像処理により形や大きさをかえるような処理は一切おこなっておりません。

金沢豪 医師

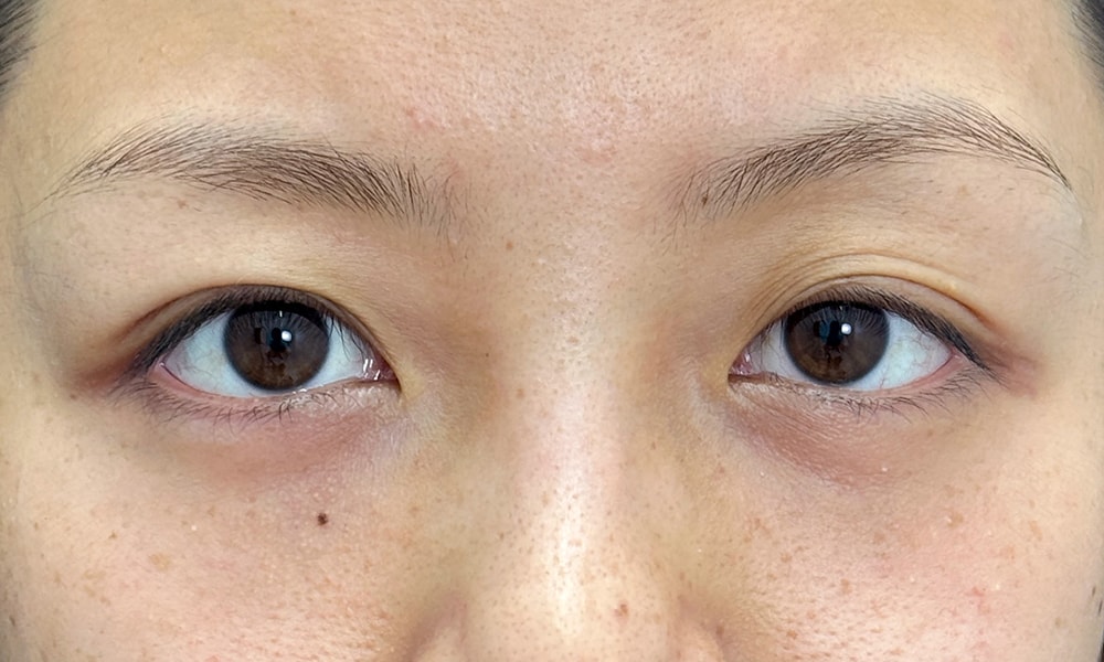
No.359465【若返り】【クマ取り】膨らみの原因になっている脂肪を、切除せずに凹んでいる部分に再配置。クマ取りを毎日のように執刀しているベテラン医師にお任せください!

施術前

クマが原因で顔が暗く疲れて見える
→

施術後1ヶ月後

目の下がフラットになりました
→

施術後3ヶ月後

パッと明るい印象に

すべての画像を見る

施術した院

部位

施術

施術回数

数量

性別

施術担当者からのコメント

膨らみの原因になっている脂肪を、切除せずに凹んでいる部分に再配置。

凸凹を整えて、影のない明るい目元へ。

--------------------------------

30代 女性

[ 今回の施術内容 ]
▼裏ハムラ法
▼ナノリッチ
▼コンデンスリッチ

モニター番号|No.031-0589
モニターURL|https://www.s-b-c.net/k_campaign/campaign031-0589.html

--------------------------------

[ 実績 ]
裏ハムラ法 SBC内症例数
中四国エリアNo.1?※2025年上半期

--------------------------------

【裏ハムラ】は瞼の裏からアプローチし、眼窩脂肪を取らずに目の下に移動して固定させる事で注入無しでクマの改善ができる治療です。

※安易な脱脂は目の下も上も凹ませるリスクがあるので注意。
「まぶたの裏から脂肪とりましょう。2個より3個取った方がいいですよ。」と、脱脂で1個〇〇円×◯個の結果、CMの金額とは違う高額見積もりを案内しているクリニックもあるので注意しましょう。

ナノリッチ(脂肪幹細胞注入)は無くても良いですが、あったほうがより皮膚にハリが出て色味も改善します◎

クマ取りは初回手術がとても大切な治療です。
失敗したくない方は、ぜひ私にお任せください。

ご予約をお待ちしております。



×

当院におけるワクチン接種後の治療間隔(ガイドライン)

美容皮膚科、美容外科小手術

前後3日(手術日は含まず)、自覚する副反応がなければ可
安心麻酔を使用するものは接種後1週間は空ける

美容外科中、大手術

前後1週間
副反応が残っている場合は延期
接種部位と手術部位が同じ場合は2週間は空ける

×

お急ぎの方はお電話ください

0120-489-100

受付時間 / 10:00~23:00