症例写真(No.359548)

当院の症例写真は、画像処理により形や大きさをかえるような処理は一切おこなっておりません。

藤塚紗良 医師

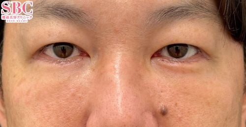
No.359548【若返り】【クマ取り】【40代】【クマとたるみを根本改善】切開ハムラ法【切開ハムラ症例数No.2 SBC内関東2025年上半期】

施術前

術前
→

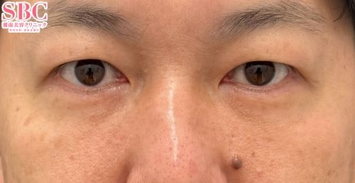
施術後3ヶ月後

クマがなくなり優しい印象に
すべての画像を見る

施術した院

部位

施術

施術回数

数量

性別

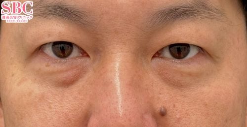
関連症例写真

術前
術直後
術後1週間
術後1か月
術後3か月

施術担当者からのコメント

40代男性/術前 → 術後3ヶ月
《施術内容》
・切開ハムラ法(下眼瞼切開+眼窩脂肪移動)

【経過コメント】
目の下のふくらみとたるみが改善されたことで、目の下がスッキリして若返った印象になりました。。
目の下がスッキリするだけで、お顔全体の印象がぐっと若返ります。

【施術の説明・メリット】
加齢や体質によって目立ってくる「目の下の膨らみ」と「皮膚のたるみ」を同時に解消する施術です。
膨らみの原因である眼窩脂肪を適切に移動させ、さらにたるんだ皮膚も引き締めることで、目元が自然で若々しい印象に。

こんな方におすすめ
・目の下のふくらみが気になる
・皮膚のたるみ(しわ)も一緒に改善したい
・疲れて見える・老けて見える印象を変えたい
・自然で長持ちする若返り効果を求めている

【ドクターコメント】
目元の印象はお顔全体の印象を左右します。
自然な若返りを叶えるために、細部までこだわったデザイン・手技を心がけています。
丁寧なカウンセリングで一人ひとりのお悩みに寄り添い、理想の仕上がりをご提案いたします。

まずはお気軽に無料カウンセリングへ

執刀医:湘南美容クリニック新横浜院 藤塚紗良

――――――――――――――――
【お問い合わせ】
湘南美容クリニック新横浜院
TEL:0120-966-620



×

当院におけるワクチン接種後の治療間隔(ガイドライン)

美容皮膚科、美容外科小手術

前後3日(手術日は含まず)、自覚する副反応がなければ可
安心麻酔を使用するものは接種後1週間は空ける

美容外科中、大手術

前後1週間
副反応が残っている場合は延期
接種部位と手術部位が同じ場合は2週間は空ける

×

お急ぎの方はお電話ください

0120-489-100

受付時間 / 10:00~23:00