お急ぎの方はお電話ください
WEB予約
メンズ専用
LINE登録
オンラインストア
SBC公式アプリ
SBC 採用サイト
医療機関検索サイトアイメッド
定額制セルフエステ
当院の症例写真は、画像処理により形や大きさをかえるような処理は一切おこなっておりません。
藤塚紗良 医師
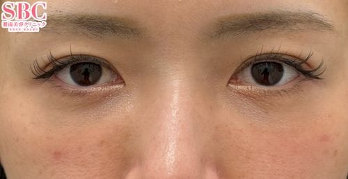
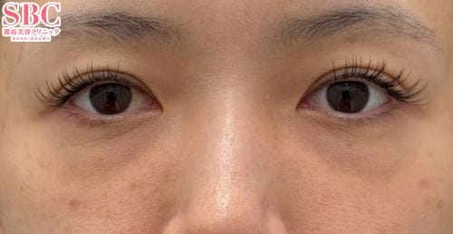
施術前
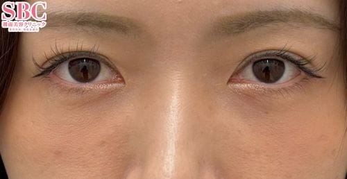
施術後3ヶ月後
施術した院
部位
施術
施術回数
数量
性別
30代女性/術前 → 術後3ヶ月《施術内容》・裏ハムラ法(経結膜的眼窩脂肪移動術)【経過コメント】目の下のふくらみが自然にフラットになり、明るく若々しい印象の目元に。傷が表に出ないため、術後もナチュラルな仕上がりです。目の下がスッキリするだけで、お顔全体の印象が大きく変わります。【施術の説明・メリット】加齢や体質によって目立ってくる「目の下の膨らみ(眼窩脂肪)」を、まぶたの裏側からアプローチして自然に整える施術です。膨らんだ脂肪をへこみ部分に移動させることで、ふくらみと影の両方を改善し、なめらかで立体的な若々しい目元を実現します。・表に傷がつかない(皮膚を切らない)・仕上がりが自然でバレにくい・ダウンタイムが比較的少ない・長期的な効果が期待できる\こんな方におすすめ/・目の下のふくらみや影が気になる・疲れて見える、老けて見える印象を改善したい・自然な仕上がりと長持ちする効果を求めている【ドクターコメント】裏ハムラ法は、眼窩脂肪を切除することなく膨らみと凹みを同時に解消することができます。丁寧なカウンセリングで一人ひとりに合わせた施術を心がけています。まずはお気軽に無料カウンセリングへお越しください。執刀医:湘南美容クリニック新横浜院 院長 藤塚紗良――――――――――――――――【お問い合わせ】湘南美容クリニック新横浜院TEL: 0120-859-726
前後3日(手術日は含まず)、自覚する副反応がなければ可安心麻酔を使用するものは接種後1週間は空ける
前後1週間副反応が残っている場合は延期接種部位と手術部位が同じ場合は2週間は空ける
0120-489-100
受付時間 / 10:00~23:00
施術担当者からのコメント
30代女性/術前 → 術後3ヶ月
《施術内容》
・裏ハムラ法(経結膜的眼窩脂肪移動術)
【経過コメント】
目の下のふくらみが自然にフラットになり、明るく若々しい印象の目元に。
傷が表に出ないため、術後もナチュラルな仕上がりです。
目の下がスッキリするだけで、お顔全体の印象が大きく変わります。
【施術の説明・メリット】
加齢や体質によって目立ってくる「目の下の膨らみ(眼窩脂肪)」を、
まぶたの裏側からアプローチして自然に整える施術です。
膨らんだ脂肪をへこみ部分に移動させることで、ふくらみと影の両方を改善し、
なめらかで立体的な若々しい目元を実現します。
・表に傷がつかない(皮膚を切らない)
・仕上がりが自然でバレにくい
・ダウンタイムが比較的少ない
・長期的な効果が期待できる
\こんな方におすすめ/
・目の下のふくらみや影が気になる
・疲れて見える、老けて見える印象を改善したい
・自然な仕上がりと長持ちする効果を求めている
【ドクターコメント】
裏ハムラ法は、眼窩脂肪を切除することなく膨らみと凹みを同時に解消することができます。
丁寧なカウンセリングで一人ひとりに合わせた施術を心がけています。
まずはお気軽に無料カウンセリングへお越しください。
執刀医:湘南美容クリニック新横浜院 院長 藤塚紗良
――――――――――――――――
【お問い合わせ】
湘南美容クリニック新横浜院
TEL: 0120-859-726