お急ぎの方はお電話ください
WEB予約
メンズ専用
LINE登録
オンラインストア
SBC公式アプリ
SBC 採用サイト
医療機関検索サイトアイメッド
定額制セルフエステ
当院の症例写真は、画像処理により形や大きさをかえるような処理は一切おこなっておりません。
澁川直彦 医師
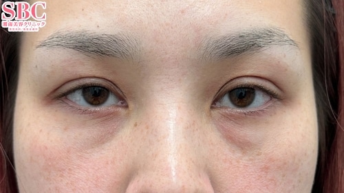
施術前
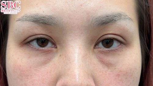
施術後1ヶ月後
施術した院
部位
施術
施術回数
数量
性別
今回は30代の女性のモニター様です。年齢とともに変化した目元に対してコンデンスリッチフェイス術を併用した切らないクマ・たるみ取り治療により目元の若返りを行いました。目元が変わると疲れた印象が改善し顔全体が若返った印象となります。目元は20代から60代を超えてどの世代の方も気になる部分かと思います。単純な脂肪取りだけでなく目元を輪郭の一部と考えて綺麗な目元を形成する情熱を持って手術を行っております。複数の施術を組み合わせて行うことで張りのある若々しい目元へ導きます。目元でお悩みを抱えている方は一度無料カウンセリングにお越しください。形成外科専門医である私がご希望に応じて最適な施術をご提案させていただきます。Instagramにも目元の症例写真やお得なモニター情報をたくさんアップしておりますので是非チェックしてください!https://www.instagram.com/sbc_shibukawa/私が目元整形で選ばれる理由・形成外科専門医として培った経験と技術力で一人一人に似合うデザインの提案を行います。・手術前のデザインは妥協なく時間をかけて丁寧に行います。・クマ治療以外にも全切開二重術や眼瞼下垂、眉下リフト、二重埋没法など目周りの手術を得意としております。
前後3日(手術日は含まず)、自覚する副反応がなければ可安心麻酔を使用するものは接種後1週間は空ける
前後1週間副反応が残っている場合は延期接種部位と手術部位が同じ場合は2週間は空ける
0120-489-100
受付時間 / 10:00~23:00
施術担当者からのコメント
今回は30代の女性のモニター様です。年齢とともに変化した目元に対してコンデンスリッチフェイス術を併用した切らないクマ・たるみ取り治療により目元の若返りを行いました。目元が変わると疲れた印象が改善し顔全体が若返った印象となります。目元は20代から60代を超えてどの世代の方も気になる部分かと思います。単純な脂肪取りだけでなく目元を輪郭の一部と考えて綺麗な目元を形成する情熱を持って手術を行っております。複数の施術を組み合わせて行うことで張りのある若々しい目元へ導きます。
目元でお悩みを抱えている方は一度無料カウンセリングにお越しください。
形成外科専門医である私がご希望に応じて最適な施術をご提案させていただきます。
Instagramにも目元の症例写真やお得なモニター情報をたくさんアップしておりますので是非チェックしてください!https://www.instagram.com/sbc_shibukawa/
私が目元整形で選ばれる理由
・形成外科専門医として培った経験と技術力で一人一人に似合うデザインの提案を行います。
・手術前のデザインは妥協なく時間をかけて丁寧に行います。
・クマ治療以外にも全切開二重術や眼瞼下垂、眉下リフト、二重埋没法など目周りの手術を得意としております。