症例写真(No.360201)

当院の症例写真は、画像処理により形や大きさをかえるような処理は一切おこなっておりません。

奥一誠 医師

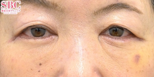
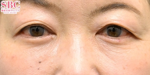
No.360201【若返り】【クマ取り】「眼窩脂肪」を移動して膨らみと溝を同時にフラットにすることで目元の若返りを実現!老け見え解消なら奥医師にお任せ!【施術3ヶ月後】【切開ハムラ法×ナノリッチ】

施術前

施術前の状態です。
→

施術後3ヶ月後

術後3ヶ月で膨らみのない若々しいフラットな目元に!
すべての画像を見る

施術した院

部位

施術

施術回数

数量

性別

関連症例写真

術前
術後1週間(抜糸後)
術後1ヶ月(メイクなし)
術後3ヶ月(メイクなし)

施術担当者からのコメント

脱脂から切開、脂肪注入まで全てのクマ取り治療の執刀が可能!
クマ取り施術なら奥医師にお任せください!

==========================
【切開ハムラ法とは】
目立ちづらい下まぶたのまつ毛の際から皮膚を切開し、膨らんでいる部分からくぼんでいる部分に眼窩脂肪を移動させることで、膨らみと溝を同時にフラットにすることができるため、眼窩脂肪を切り離すことなくクマを改善することができます。
同時に余分な皮膚も切除することができるので、膨らみが大きい方・皮膚の余りが気になる方にお勧めの施術です。

★Dr.奥の二重術が選ばれる理由★
・スタッフ本人、ご家族、ご友人の施術を数多く担当
・親身なカウンセリング
・丁寧なデザイン
・美的センスの高さ
・関東で修行した高い技術力
丁寧な診察で、お一人お一人に合わせたデザインで施術させていただきます。
お気軽にご相談ください。

★instagram絶賛更新中★
【奥医師担当】
@sbc_oku

インスタグラムではリアルタイムで沢山の症例写真や
施術動画をあげています!



×

当院におけるワクチン接種後の治療間隔(ガイドライン)

美容皮膚科、美容外科小手術

前後3日(手術日は含まず)、自覚する副反応がなければ可
安心麻酔を使用するものは接種後1週間は空ける

美容外科中、大手術

前後1週間
副反応が残っている場合は延期
接種部位と手術部位が同じ場合は2週間は空ける

×

お急ぎの方はお電話ください

0120-489-100

受付時間 / 10:00~23:00