症例写真(No.360647)

当院の症例写真は、画像処理により形や大きさをかえるような処理は一切おこなっておりません。

飯田誠丈 医師

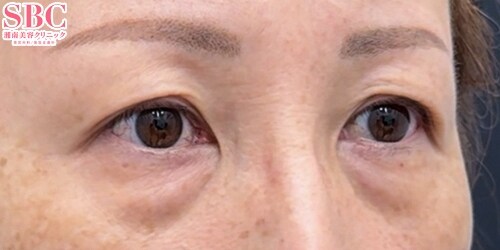
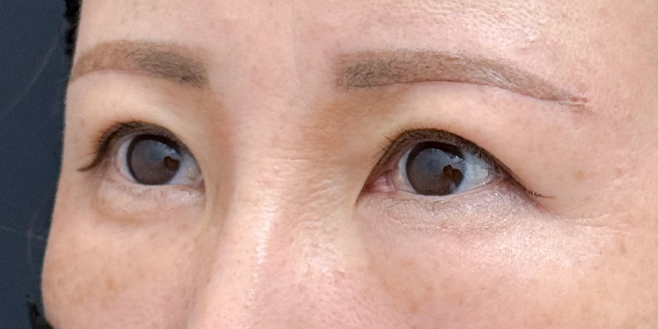
No.360647【若返り】【眉下リフト(眉下切開)】【クマ取り】【脂肪注入】静岡院院長/静岡エリア統括ドクター 飯田医師による自然で美しい目元の若返り術★

施術前

施術前
→

施術後1ヶ月後

すでに目の下のクマが解消されています
→

施術後3ヶ月後

クマが改善されてスッキリと美しい目元へ

すべての画像を見る

施術した院

部位

施術

施術回数

数量

性別

関連症例写真

施術前
術後1ヶ月
術後3ヶ月
施術前
術後1週間
術後1ヶ月

施術担当者からのコメント

【施術内容】
・眉下リフト(眉下切開)
・目の下の切らないクマ取り・たるみ(ふくらみ)取り
・ナチュラル脂肪注射ナノリッチ(目の下)
・ナチュラル脂肪注射コンデンスリッチ(目の下~ゴルゴ)
〈施術前・術後1ヶ月・術後3ヶ月〉

----------------------------------------------------

術直後から美しくをモットーに、お客様のご要望を叶えていきます。
自然で美しい目元整形するなら静岡院 飯田にお任せください!

----------------------------------------------------

SNSでダウンタイムや完成のお写真など
日々の症例を多数掲載しております。

☆Instagram毎日更新中
二重症例:@sbc_iida_masatake で検索
脂肪吸引・豊胸・クマ取り症例:@sbc_iida_m で検索

☆YouTubeも配信中
まさたけ美容塾 で検索

☆TikTokも更新中
@sbc_iida_masatake で検索



×

当院におけるワクチン接種後の治療間隔(ガイドライン)

美容皮膚科、美容外科小手術

前後3日(手術日は含まず)、自覚する副反応がなければ可
安心麻酔を使用するものは接種後1週間は空ける

美容外科中、大手術

前後1週間
副反応が残っている場合は延期
接種部位と手術部位が同じ場合は2週間は空ける

×

お急ぎの方はお電話ください

0120-489-100

受付時間 / 10:00~23:00