症例写真(No.360701)

当院の症例写真は、画像処理により形や大きさをかえるような処理は一切おこなっておりません。

谷口雅彦 医師

No.360701【若返り】【目の下のクマ治療】【裏ハムラ】目の下の脂肪を移動させてクマ改善!!レジェンドDr.が認める次世代エース★谷口院長!!

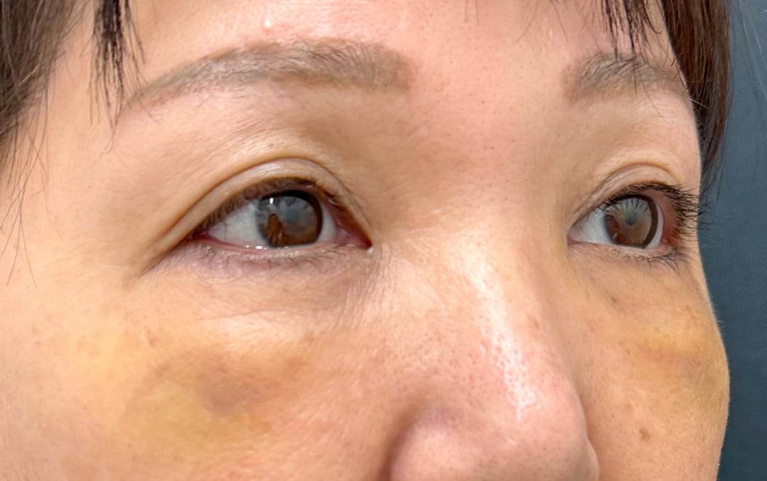
施術前

鏡を見るたびに疲れて見えてしまうのがお悩みとのことです
→

施術後1ヶ月後

目の下の凹凸が平らにならされ、明るい光が入るようになりました
→

施術後1週間後

腫れ・内出血が見られますがここから時間をかけて綺麗になります

すべての画像を見る

施術した院

部位

施術

施術回数

数量

性別

施術担当者からのコメント

裏ハムラ法とは、目の下のクマやたるみの原因となる
「眼窩脂肪(がんかしぼう)」を移動させて整える施術です。

裏ハムラは、術野が狭く、高度な技術と正確な操作が求められるため、難しい施術です。
医師の技術が未熟だと、クマが消えなかったり、凹みすぎたり、
再発したりするリスクがあり、修正施術も困難になる場合があります。
そのため、施術を受ける際は、経験豊富な医師を選ぶことが非常に重要です。

クマにお悩みの方!ぜひ無料カウンセリングにお越しください!

〈小田原院の谷口院長が選ばれる理由〉
●ベイザー脂肪吸引_SBC内症例数_西日本エリアNo.2(2024年上半期)
●SBCレジェンドドクター3名が認める「脂肪吸引」部門西日本エリア選抜



×

当院におけるワクチン接種後の治療間隔(ガイドライン)

美容皮膚科、美容外科小手術

前後3日(手術日は含まず)、自覚する副反応がなければ可
安心麻酔を使用するものは接種後1週間は空ける

美容外科中、大手術

前後1週間
副反応が残っている場合は延期
接種部位と手術部位が同じ場合は2週間は空ける

×

お急ぎの方はお電話ください

0120-489-100

受付時間 / 10:00~23:00