症例写真(No.360716)

当院の症例写真は、画像処理により形や大きさをかえるような処理は一切おこなっておりません。

竹迫真那子 医師

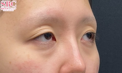
No.360716【若返り】【29歳女性】目の下のクマ取り+コンデンスリッチ(目の下・ゴルゴ)+ナノリッチ(目の下)+クイックコスメティークダブル

施術前

手術前
→

施術後1ヶ月後

手術後メイク無
すべての画像を見る

施術した院

部位

施術

施術回数

数量

性別

関連症例写真

手術前
手術後1か月
手術前
手術後1か月

施術担当者からのコメント

写真は、目の下のクマとり、コンデンスリッチフェイス法(目の下・ゴルゴライン)、ナノリッチ(目の下)、クイックコスメティークダブル
を受けていただいた29歳の女性のお客様の、経過のお写真です。

お目元・頬が明るくなったことで若返り、マイナス10歳のお顔立ちとなりました!
お疲れ感もなくなって、とても素敵です!

目の下のクマ取りは、私竹迫にお任せ下さい!

★★★Instagram・TIKTOKやってます★★★
さまざまな年齢・クマタイプの症例を載せております!
ぜひチェックしてみてください!



×

当院におけるワクチン接種後の治療間隔(ガイドライン)

美容皮膚科、美容外科小手術

前後3日(手術日は含まず)、自覚する副反応がなければ可
安心麻酔を使用するものは接種後1週間は空ける

美容外科中、大手術

前後1週間
副反応が残っている場合は延期
接種部位と手術部位が同じ場合は2週間は空ける

×

お急ぎの方はお電話ください

0120-489-100

受付時間 / 10:00~23:00