お急ぎの方はお電話ください
WEB予約
メンズ専用
LINE登録
オンラインストア
SBC公式アプリ
SBC 採用サイト
医療機関検索サイトアイメッド
定額制セルフエステ
当院の症例写真は、画像処理により形や大きさをかえるような処理は一切おこなっておりません。
竹迫真那子 医師
施術前
施術後1ヶ月後
施術した院
部位
施術
施術回数
数量
性別
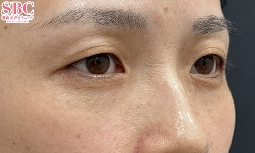
写真は、裏ハムラ、クイックコスメティークダブルを受けていただいた39歳の女性のお客様の、経過のお写真です。お目元・頬が明るくなったことで若返り、マイナス10歳のお顔立ちとなりました!お疲れ感もなくなって、とても素敵です!目の下のクマ取りは、私竹迫にお任せ下さい!★★★Instagram・TIKTOKやってます★★★さまざまな年齢・クマタイプの症例を載せております!ぜひチェックしてみてください!
前後3日(手術日は含まず)、自覚する副反応がなければ可安心麻酔を使用するものは接種後1週間は空ける
前後1週間副反応が残っている場合は延期接種部位と手術部位が同じ場合は2週間は空ける
0120-489-100
受付時間 / 10:00~23:00
施術担当者からのコメント
写真は、裏ハムラ、クイックコスメティークダブル
を受けていただいた39歳の女性のお客様の、経過のお写真です。
お目元・頬が明るくなったことで若返り、マイナス10歳のお顔立ちとなりました!
お疲れ感もなくなって、とても素敵です!
目の下のクマ取りは、私竹迫にお任せ下さい!
★★★Instagram・TIKTOKやってます★★★
さまざまな年齢・クマタイプの症例を載せております!
ぜひチェックしてみてください!