お急ぎの方はお電話ください
WEB予約
メンズ専用
LINE登録
オンラインストア
SBC e Gift
SBC公式アプリ
SBC 採用サイト
医療機関検索サイトアイメッド
定額制セルフエステ
当院の症例写真は、画像処理により形や大きさをかえるような処理は一切おこなっておりません。
高山真実 医師
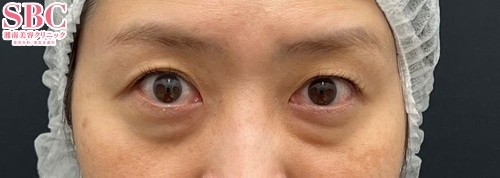
施術前
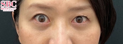
施術後1ヶ月後
施術した院
部位
施術
施術回数
数量
性別
ご紹介するお客様は50代女性の方です。以前から目の下のクマ・たるみに悩まれており、「疲れて見える」「老けた印象に見られる」ことが長年のストレスだったそうです。年齢とともに進行する目元の変化に対し、セルフケアだけでは限界を感じ、今回は切らないクマ取り手術に脂肪注入を併用する治療を選択されました。今回受けられた施術は目の下の切らないクマ取り+コンデンスリッチフェイス(脂肪注入)です。手術直後、1週間後、1ヶ月後の写真をご覧ください。1週間後には軽度の内出血が見られましたが、比較的順調な経過で、日常生活への大きな支障はなかったようです。1ヶ月後にはむくみも完全に引き、クマ・くぼみが自然に改善され、非常に美しく若々しい仕上がりとなっています。脂肪を適切に補うことで、単にクマを取るだけでなく、ハリと立体感のある、やつれて見えない目元に仕上がっているのが大きなポイントです。目元が明るくなることで、「疲れて見える」「老けて見える」といった印象が改善され、柔らかく、上品で女性らしい若々しさのある目元になっています。クマ取り手術は、診断とデザインで結果の8割が決まる施術です。皮膚の薄さ、たるみの程度、脂肪量、骨格、年齢変化を正確に見極め、「取るべき部分」と「残す・補うべき部分」を間違えないことが、自然な若返りには欠かせません。私はカウンセリングにしっかり時間をかけ、一人ひとりの年齢・お悩み・理想に合わせて、やりすぎず、でも確実に若返る治療プランをご提案しています。美容医療は、ただ見た目を変えるものではなく、自信を取り戻し、その自信が表情や日常を前向きに変えていくものだと考えています。目元が変わるだけで、印象は驚くほど変わります。ぜひ一緒に、年齢を重ねても自然に美しい目元を作っていきましょう。◎切らないクマ取り+脂肪注入◎・切らずにクマを改善できる・くぼみ・影クマを同時に補正・自然なハリと若々しさをプラス【こんな方におすすめ】・年齢とともにクマ・くぼみが目立ってきた方・切開には抵抗があるが、しっかり改善したい方・疲れた・老けた印象を変えたい方心よりご来院をお待ちしております。詳細は下記のInstagram・YouTubeもぜひご覧ください。
前後3日(手術日は含まず)、自覚する副反応がなければ可安心麻酔を使用するものは接種後1週間は空ける
前後1週間副反応が残っている場合は延期接種部位と手術部位が同じ場合は2週間は空ける
施術担当者からのコメント
ご紹介するお客様は50代女性の方です。
以前から目の下のクマ・たるみに悩まれており、
「疲れて見える」「老けた印象に見られる」ことが長年のストレスだったそうです。
年齢とともに進行する目元の変化に対し、セルフケアだけでは限界を感じ、
今回は切らないクマ取り手術に脂肪注入を併用する治療を選択されました。
今回受けられた施術は
目の下の切らないクマ取り+コンデンスリッチフェイス(脂肪注入)です。
手術直後、1週間後、1ヶ月後の写真をご覧ください。
1週間後には軽度の内出血が見られましたが、比較的順調な経過で、日常生活への大きな支障はなかったようです。
1ヶ月後にはむくみも完全に引き、クマ・くぼみが自然に改善され、非常に美しく若々しい仕上がりとなっています。
脂肪を適切に補うことで、
単にクマを取るだけでなく、ハリと立体感のある、やつれて見えない目元に仕上がっているのが大きなポイントです。
目元が明るくなることで、
「疲れて見える」「老けて見える」といった印象が改善され、
柔らかく、上品で女性らしい若々しさのある目元になっています。
クマ取り手術は、診断とデザインで結果の8割が決まる施術です。
皮膚の薄さ、たるみの程度、脂肪量、骨格、年齢変化を正確に見極め、
「取るべき部分」と「残す・補うべき部分」を間違えないことが、自然な若返りには欠かせません。
私はカウンセリングにしっかり時間をかけ、
一人ひとりの年齢・お悩み・理想に合わせて、
やりすぎず、でも確実に若返る治療プランをご提案しています。
美容医療は、ただ見た目を変えるものではなく、
自信を取り戻し、その自信が表情や日常を前向きに変えていくものだと考えています。
目元が変わるだけで、印象は驚くほど変わります。
ぜひ一緒に、年齢を重ねても自然に美しい目元を作っていきましょう。
◎切らないクマ取り+脂肪注入◎
・切らずにクマを改善できる
・くぼみ・影クマを同時に補正
・自然なハリと若々しさをプラス
【こんな方におすすめ】
・年齢とともにクマ・くぼみが目立ってきた方
・切開には抵抗があるが、しっかり改善したい方
・疲れた・老けた印象を変えたい方
心よりご来院をお待ちしております。
詳細は下記のInstagram・YouTubeもぜひご覧ください。