症例写真(No.361025)

当院の症例写真は、画像処理により形や大きさをかえるような処理は一切おこなっておりません。

高川裕也 医師

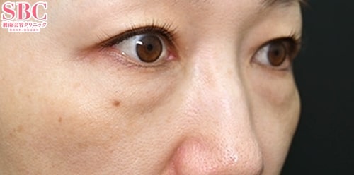
No.361025【若返り】【整形感0のクマ治療】40代後半 目の下の切らないクマ取り×PRP 術後3ヶ月目 名古屋駅本院高川施術【2024上期下期.2025年上期下期 目の下の切らないクマ取り 症例数 中部No.1!(SBC内)】

施術前

目の下の膨らみが目立ち、老けた印象に見えるクマです。
→

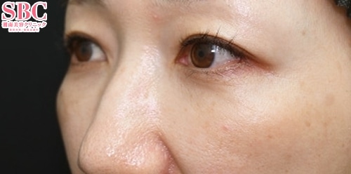
施術後3ヶ月後

目の下クマが綺麗に改善!
すべての画像を見る

施術した院

部位

施術

施術回数

数量

性別

関連症例写真

術前 斜め
術後 斜め1ヶ月目
術前 斜め
術後 斜め1ヶ月目

施術担当者からのコメント

\目の下のクマ取り・たるみ取り、裏ハムラ法なら高川裕也にお任せ!/

今回のお客様の施術
・目の下の切らないクマ取り
・PRP (ゴルゴライン)

袋の下に広範囲の膨らみがある方のクマ治療。
クマがあることで、中顔面とのメリハリがない状態になってます。
脱脂とPRP注入を行い、膨らみを改善しつつ、ゴルゴラインにボリュームを足し、メリハリ感のある目元になりました。

私、高川はこだわってクマの施術をしております。
クマや目の周りが気になるけど治療法がわからない…という方、
名古屋駅本院高川ドクターまでお気軽にご相談ください!

クマ治療はこんなお悩みをお持ちの方におすすめです

・なぜか疲れて見える
・年齢より老けて見える
・涙袋がない
・目の下に凹凸がある
・メイクをしてもクマが隠れない
・1度クマ取りをしたがまだ気になる…

一つでも当てはまった方はクマ治療が適用の可能性がございます。
一度ご相談にお越しください。

クマ治療で特に大事なのはドクター選びです。
僕は湘南美容クリニック全国128院・在籍医師は400名以上の中で、クマ治療の部門で多くの受賞歴がございます。

・2020年SBCアワードお客様満足度全国No 1
・目の下の切らないクマ取り中部No.1 (2024上半期・下半期sbc内症例数)
・裏ハムラ法全国No.2 (2023下半期sbc内症例数)
・PRP全国No.1 (2024上半期sbc内症例数)

3,700件以上の症例から生まれた確かな技術で、16年もの間名古屋の地で選ばれ続けています。
修正のご相談も対応しておりますので、お気軽にカウンセリングへお越しください。

他の症例はこちらから↓
https://www.instagram.com/sbc_tg_kuma/



×

当院におけるワクチン接種後の治療間隔(ガイドライン)

美容皮膚科、美容外科小手術

前後3日(手術日は含まず)、自覚する副反応がなければ可
安心麻酔を使用するものは接種後1週間は空ける

美容外科中、大手術

前後1週間
副反応が残っている場合は延期
接種部位と手術部位が同じ場合は2週間は空ける

×

お急ぎの方はお電話ください

0120-489-100

受付時間 / 10:00~23:00