症例写真(No.361281)

当院の症例写真は、画像処理により形や大きさをかえるような処理は一切おこなっておりません。

澁川直彦 医師

No.361281【若返り】【形成外科専門医おしぶ先生が執刀】裏ハムラ法による目の下の切らないクマ・たるみ治療

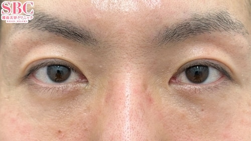
施術前

術前は目の下のたるみが気になっていました。
→

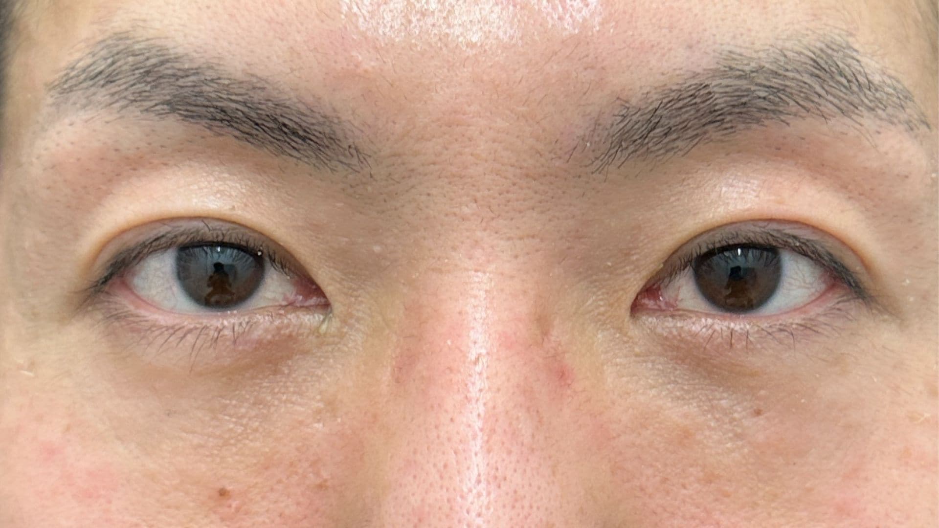
施術後1週間後

腫れやむくみは2-3日をピークに1-2週間で落ち着きます。
→

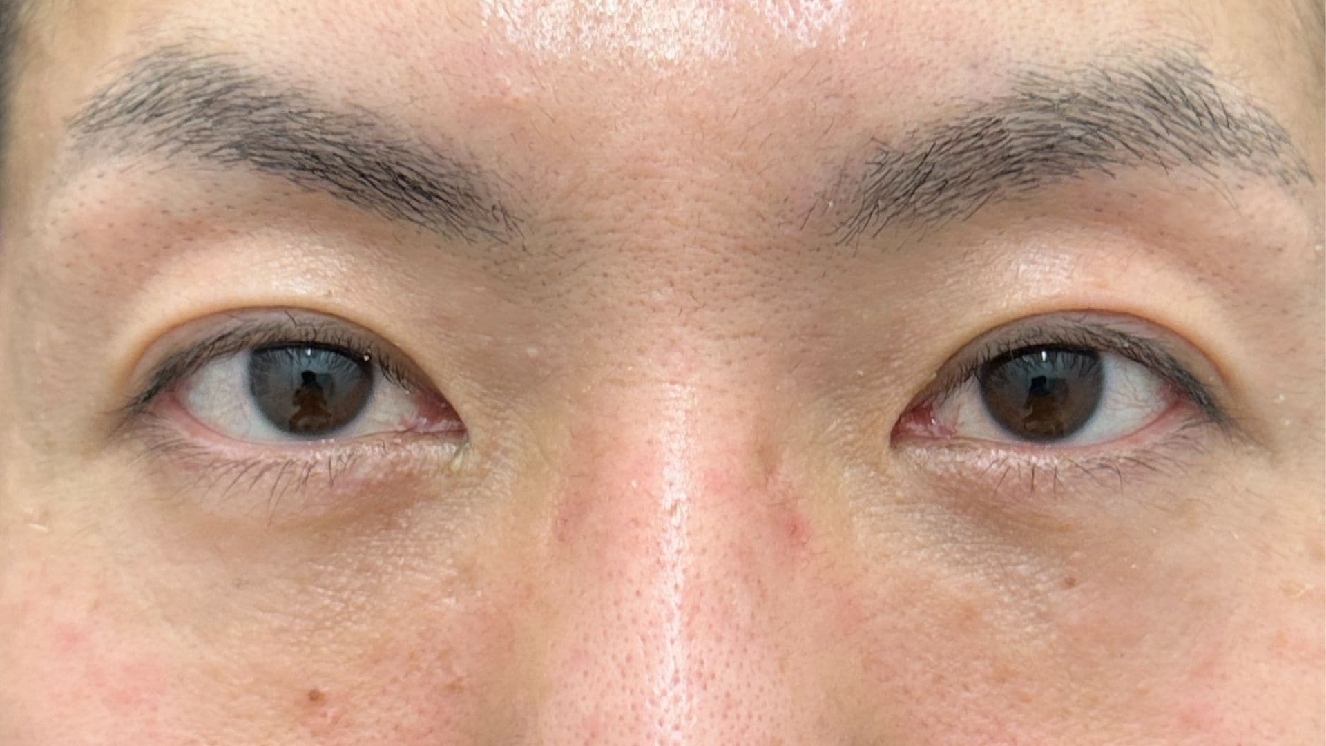
施術後1ヶ月後

1ヶ月後では違和感も落ち着きスッキリとした印象になりました。

すべての画像を見る

施術した院

部位

施術

施術回数

数量

性別

関連症例写真

術前
1週間後
1ヶ月後
術前
1ヶ月後
術前
1ヶ月後

施術担当者からのコメント

今回は目元のクマが気になる30代男性の方にいわゆる切らない・取らないクマ取りこと裏ハムラ法の施術を受けていただきました。
 目元の膨らみは、早いと20代から目立ってきます。これは眼窩脂肪と呼ばれる眼球と骨の間でクッションの役割をしている脂肪の塊が原因です。裏ハムラ法ではこの脂肪を利用して目元の膨らみと中顔面の凹みを同時に改善することができます。また、目元の皮膚を切らずに行うので抜糸の必要もありません。
通常術後の内出血は1-2週間程度で落ち着きます。
術後は涙袋と目元の境界がはっきりとなり目の印象が上がりました。また、凹みも改善するため顔の輪郭も整えることができます。
 目元は20代から60代を超えてどの世代の方も気になる部分かと思います。一人ひとりのお客様の状態に合わせて最適な施術を提案させていただきます。単純な脂肪取りだけでなく目元を輪郭の一部と考えて綺麗な目元を形成する情熱を持って手術を行っております。目元でお悩みを抱えている方は一度無料カウンセリングにお越しください。
形成外科専門医である私がご希望に応じて最適な施術をご提案させていただきます。
Instagramにも目元の症例写真やお得なモニター情報をたくさんアップしておりますので是非チェックしてください!https://www.instagram.com/sbc_shibukawa/
私が目元整形で選ばれる理由
・形成外科専門医として培った経験と技術力で一人一人に似合う施術の提案を行います。
・カウンセリングや手術前のデザインは妥協なく時間をかけて丁寧に行います。
・クマ治療以外にも全切開二重術や眼瞼下垂、眉下リフト、目頭切開など目周りの手術を得意としております。



×

当院におけるワクチン接種後の治療間隔(ガイドライン)

美容皮膚科、美容外科小手術

前後3日(手術日は含まず)、自覚する副反応がなければ可
安心麻酔を使用するものは接種後1週間は空ける

美容外科中、大手術

前後1週間
副反応が残っている場合は延期
接種部位と手術部位が同じ場合は2週間は空ける

×

お急ぎの方はお電話ください

0120-489-100

受付時間 / 10:00~23:00