お急ぎの方はお電話ください
WEB予約
メンズ専用
LINE登録
オンラインストア
SBC e Gift
SBC公式アプリ
SBC 採用サイト
医療機関検索サイトアイメッド
定額制セルフエステ
当院の症例写真は、画像処理により形や大きさをかえるような処理は一切おこなっておりません。
森澤雄己 医師
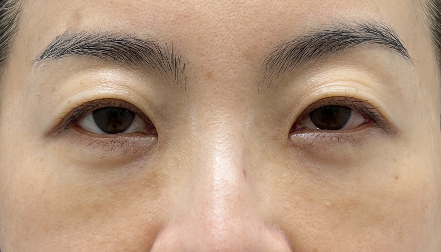
施術前
施術後1ヶ月後
施術後1週間後
すべての画像を見る
施術した院
部位
施術
施術回数
数量
性別
目の下のクマでお悩みのお客様です。目の下の膨らみや溝により影のクマを作っていました。ダウンタイムをなるべく抑えたいとのことで、脂肪注入を行わずに目の下の凹凸を滑らかにできる裏ハムラ法を選択しました。裏ハムラ法は眼窩脂肪の再配置と眼窩隔膜の補強により長期的なクマ改善効果があります。リスクが少なく腫れや内出血も最小限になるよう工夫しております。ノーメイクノーライトでの撮影となっております。私が選ばれる理由、・的確なカウンセリングと分かりやすい説明・内出血や腫れが少ない丁寧な処置・術後も安心して過ごせるアフターフォロー・しっかりと変化を出しつつナチュラルな仕上がり
前後3日(手術日は含まず)、自覚する副反応がなければ可安心麻酔を使用するものは接種後1週間は空ける
前後1週間副反応が残っている場合は延期接種部位と手術部位が同じ場合は2週間は空ける
施術担当者からのコメント
目の下のクマでお悩みのお客様です。目の下の膨らみや溝により影のクマを作っていました。
ダウンタイムをなるべく抑えたいとのことで、脂肪注入を行わずに目の下の凹凸を滑らかにできる裏ハムラ法を選択しました。
裏ハムラ法は眼窩脂肪の再配置と眼窩隔膜の補強により長期的なクマ改善効果があります。
リスクが少なく腫れや内出血も最小限になるよう工夫しております。
ノーメイクノーライトでの撮影となっております。
私が選ばれる理由、
・的確なカウンセリングと分かりやすい説明
・内出血や腫れが少ない丁寧な処置
・術後も安心して過ごせるアフターフォロー
・しっかりと変化を出しつつナチュラルな仕上がり