お急ぎの方はお電話ください
WEB予約
メンズ専用
LINE登録
オンラインストア
SBC公式アプリ
SBC 採用サイト
医療機関検索サイトアイメッド
定額制セルフエステ
当院の症例写真は、画像処理により形や大きさをかえるような処理は一切おこなっておりません。
澁川直彦 医師
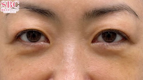
施術前
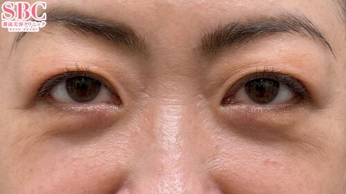
施術後1週間後
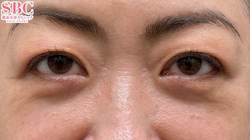
施術後1ヶ月後
すべての画像を見る
施術した院
部位
施術
施術回数
数量
性別
今回は目元のクマが気になる50代女性の方にいわゆる切らない・取らないクマ取りこと裏ハムラ法の施術を受けていただきました。 目元の膨らみは、早いと20代から目立ってきます。これは眼窩脂肪と呼ばれる眼球と骨の間でクッションの役割をしている脂肪の塊が原因です。裏ハムラ法ではこの脂肪を利用して目元の膨らみと中顔面の凹みを同時に改善することができます。また、目元の皮膚を切らずに行うので抜糸の必要もありません。通常術後の内出血は1-2週間程度で落ち着きます。術後は涙袋と目元の境界がはっきりとなり目の印象が上がりました。また、凹みも改善するため顔の輪郭も整えることができます。 目元は20代から60代を超えてどの世代の方も気になる部分かと思います。一人ひとりのお客様の状態に合わせて最適な施術を提案させていただきます。単純な脂肪取りだけでなく目元を輪郭の一部と考えて綺麗な目元を形成する情熱を持って手術を行っております。目元でお悩みを抱えている方は一度無料カウンセリングにお越しください。形成外科専門医である私がご希望に応じて最適な施術をご提案させていただきます。Instagramにも目元の症例写真やお得なモニター情報をたくさんアップしておりますので是非チェックしてください!https://www.instagram.com/sbc_shibukawa/私が目元整形で選ばれる理由・形成外科専門医として培った経験と技術力で一人一人に似合う施術の提案を行います。・カウンセリングや手術前のデザインは妥協なく時間をかけて丁寧に行います。・クマ治療以外にも全切開二重術や眼瞼下垂、眉下リフト、目頭切開など目周りの手術を得意としております。
前後3日(手術日は含まず)、自覚する副反応がなければ可安心麻酔を使用するものは接種後1週間は空ける
前後1週間副反応が残っている場合は延期接種部位と手術部位が同じ場合は2週間は空ける
0120-489-100
受付時間 / 10:00~23:00
施術担当者からのコメント
今回は目元のクマが気になる50代女性の方にいわゆる切らない・取らないクマ取りこと裏ハムラ法の施術を受けていただきました。
目元の膨らみは、早いと20代から目立ってきます。これは眼窩脂肪と呼ばれる眼球と骨の間でクッションの役割をしている脂肪の塊が原因です。裏ハムラ法ではこの脂肪を利用して目元の膨らみと中顔面の凹みを同時に改善することができます。また、目元の皮膚を切らずに行うので抜糸の必要もありません。
通常術後の内出血は1-2週間程度で落ち着きます。
術後は涙袋と目元の境界がはっきりとなり目の印象が上がりました。また、凹みも改善するため顔の輪郭も整えることができます。
目元は20代から60代を超えてどの世代の方も気になる部分かと思います。一人ひとりのお客様の状態に合わせて最適な施術を提案させていただきます。単純な脂肪取りだけでなく目元を輪郭の一部と考えて綺麗な目元を形成する情熱を持って手術を行っております。目元でお悩みを抱えている方は一度無料カウンセリングにお越しください。
形成外科専門医である私がご希望に応じて最適な施術をご提案させていただきます。
Instagramにも目元の症例写真やお得なモニター情報をたくさんアップしておりますので是非チェックしてください!https://www.instagram.com/sbc_shibukawa/
私が目元整形で選ばれる理由
・形成外科専門医として培った経験と技術力で一人一人に似合う施術の提案を行います。
・カウンセリングや手術前のデザインは妥協なく時間をかけて丁寧に行います。
・クマ治療以外にも全切開二重術や眼瞼下垂、眉下リフト、目頭切開など目周りの手術を得意としております。