お急ぎの方はお電話ください
WEB予約
メンズ専用
LINE登録
オンラインストア
SBC e Gift
SBC公式アプリ
SBC 採用サイト
医療機関検索サイトアイメッド
定額制セルフエステ
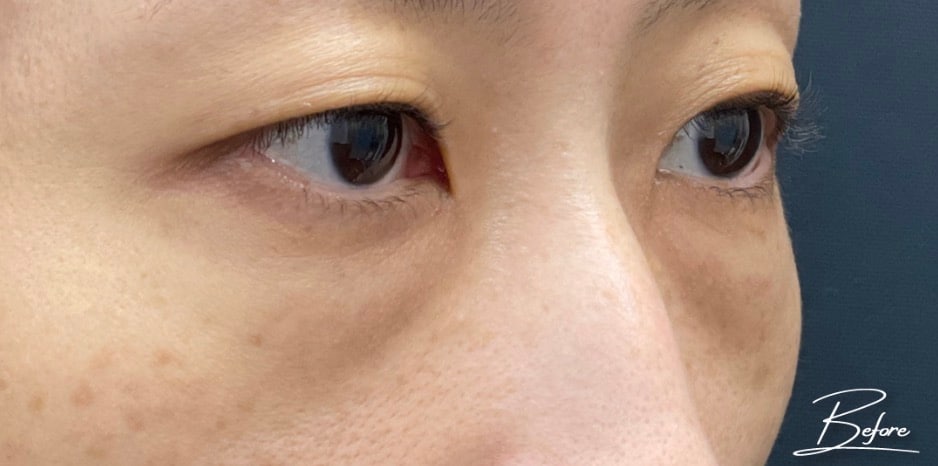
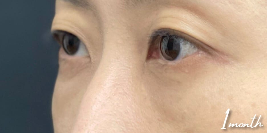
当院の症例写真は、画像処理により形や大きさをかえるような処理は一切おこなっておりません。
青柳萌花 医師
施術前
施術後1ヶ月後
施術した院
部位
施術
施術回数
数量
性別
「目の下のクマっていりますか?」貫禄を出したい方以外は、クマがあっていいことはない気がします。一番みられる、目元をナチュラルに若返り。【施術詳細】・目の下切らないたるみとり目の下~ゴルゴ・コンデンスリッチ目の下~ゴルゴ・ナノリッチ目の下---------------------------------------------------デザインに、仕上がりに、こだわります。「美的センス、手先の器用さ」で選ばれるもえか先生にお任せください!----------------------------------------------------二子玉川院 院長若返りmuseこと青柳萌花医師\若返り治療に力を入れています!/絶賛モニター様を募集中です★SNSでダウンタイムや完成のお写真など日々の症例を多数掲載しております。☆Instagram毎日更新中☆“@sbc_moeka_aoyagi”で検索☆TikTokでも配信中☆先生のお人柄を知れる場所!“sbc_aoyagi”で検索☆YouTubeでも配信中☆先生の真面目な解説動画やプライベートな内容まで盛りだくさん!“若返り女神 美容外科医 青柳萌花の美容整形チャンネル”で検索!
前後3日(手術日は含まず)、自覚する副反応がなければ可安心麻酔を使用するものは接種後1週間は空ける
前後1週間副反応が残っている場合は延期接種部位と手術部位が同じ場合は2週間は空ける
施術担当者からのコメント
「目の下のクマっていりますか?」
貫禄を出したい方以外は、
クマがあっていいことはない気がします。
一番みられる、目元をナチュラルに若返り。
【施術詳細】
・目の下切らないたるみとり
目の下~ゴルゴ
・コンデンスリッチ目の下~ゴルゴ
・ナノリッチ目の下
---------------------------------------------------
デザインに、
仕上がりに、こだわります。
「美的センス、手先の器用さ」で選ばれる
もえか先生にお任せください!
----------------------------------------------------
二子玉川院 院長
若返りmuseこと青柳萌花医師
\若返り治療に力を入れています!/
絶賛モニター様を募集中です★
SNSでダウンタイムや完成のお写真など
日々の症例を多数掲載しております。
☆Instagram毎日更新中☆
“@sbc_moeka_aoyagi”で検索
☆TikTokでも配信中☆
先生のお人柄を知れる場所!
“sbc_aoyagi”で検索
☆YouTubeでも配信中☆
先生の真面目な解説動画やプライベートな内容まで盛りだくさん!
“若返り女神 美容外科医 青柳萌花の美容整形チャンネル”で検索!