お急ぎの方はお電話ください
WEB予約
メンズ専用
LINE登録
オンラインストア
SBC公式アプリ
SBC 採用サイト
医療機関検索サイトアイメッド
定額制セルフエステ
当院の症例写真は、画像処理により形や大きさをかえるような処理は一切おこなっておりません。
澁川直彦 医師
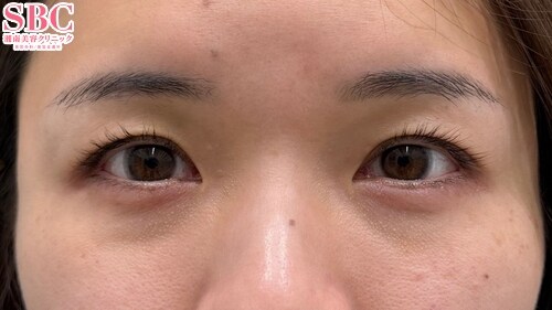
施術前
施術後術直後
施術後1週間後
すべての画像を見る
施術した院
部位
施術
施術回数
数量
性別
今回は30代の女性で瞼のたるみがお悩みでご来院されました。なるべく瞼の印象を大きく変化せず、自然に若返りたいとのご希望でした。そこで今回、瞼の印象を変えずに余った皮膚を切り取る眉下リフト術を受けていただきました。眉下リフト(眉下切開法)とは眉の下のラインに沿って切開し、たるんだ瞼を改善する施術です。瞼が変わると顔全体が若返った印象となります。・加齢により瞼の形が三角目になっている方・上瞼が厚く腫れぼったい印象の方・二重幅が年齢とともに狭くなってきた方上瞼のたるみを取って、自然で若々しい目元を叶えます!手術後は楽に瞼を開けられるようになり額や眉間のシワ、頭痛、肩こりなどの症状が改善します。上瞼でお悩みを抱えている方は一度無料カウンセリングにお越しください。形成外科専門医である私がご希望に応じて最適な施術をご提案させていただきます。Instagramにも目元の症例写真やお得なモニター情報をたくさんアップしておりますので是非チェックしてください!https://www.instagram.com/sbc_shibukawa/私が瞼・目元整形で選ばれる理由・形成外科専門医として培った経験と技術力で一人一人に似合う施術の提案を行います。・二重幅のシミュレーションや手術前のデザインは妥協なく時間をかけて丁寧に行います。・眉下リフト(眉下切開法)以外にも埋没法や全切開二重術、眼瞼下垂、(切る)クマ治療など目周りの手術を得意としております。
前後3日(手術日は含まず)、自覚する副反応がなければ可安心麻酔を使用するものは接種後1週間は空ける
前後1週間副反応が残っている場合は延期接種部位と手術部位が同じ場合は2週間は空ける
0120-489-100
受付時間 / 10:00~23:00
施術担当者からのコメント
今回は30代の女性で瞼のたるみがお悩みでご来院されました。なるべく瞼の印象を大きく変化せず、自然に若返りたいとのご希望でした。
そこで今回、瞼の印象を変えずに余った皮膚を切り取る眉下リフト術を受けていただきました。
眉下リフト(眉下切開法)とは眉の下のラインに沿って切開し、たるんだ瞼を改善する施術です。
瞼が変わると顔全体が若返った印象となります。
・加齢により瞼の形が三角目になっている方
・上瞼が厚く腫れぼったい印象の方
・二重幅が年齢とともに狭くなってきた方
上瞼のたるみを取って、自然で若々しい目元を叶えます!
手術後は楽に瞼を開けられるようになり額や眉間のシワ、頭痛、肩こりなどの症状が改善します。
上瞼でお悩みを抱えている方は一度無料カウンセリングにお越しください。
形成外科専門医である私がご希望に応じて最適な施術をご提案させていただきます。
Instagramにも目元の症例写真やお得なモニター情報をたくさんアップしておりますので是非チェックしてください!https://www.instagram.com/sbc_shibukawa/
私が瞼・目元整形で選ばれる理由
・形成外科専門医として培った経験と技術力で一人一人に似合う施術の提案を行います。
・二重幅のシミュレーションや手術前のデザインは妥協なく時間をかけて丁寧に行います。
・眉下リフト(眉下切開法)以外にも埋没法や全切開二重術、眼瞼下垂、(切る)クマ治療など目周りの手術を得意としております。