症例写真(No.361543)

当院の症例写真は、画像処理により形や大きさをかえるような処理は一切おこなっておりません。

土田博之 医師

No.361543【若返り】お疲れ目元改善!土田博之医師による【クマ治療・裏ハムラ法】目元切開で選ばれています!眉下リフト症例数関西No.2(※)(SBC内症例数 2023年上半期)

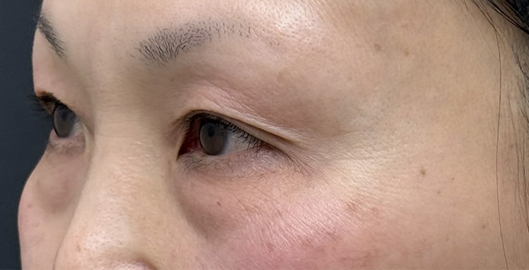
施術前

50代女性の術前のお写真です。
→

施術後1ヶ月後

目の下の凹凸感による影がなくなり、目の下のクマが改善!
すべての画像を見る

施術した院

部位

施術

施術回数

数量

性別

関連症例写真

術前:皮膚のたるみが比較的強いクマの状態。
術後1ヶ月:脂肪突出によって筋肉が透けて見えていましたが、脂肪の再配置により透けて見えた色味も改善されています。

施術担当者からのコメント

脂肪の再配置によって、突出した脂肪が改善。押し出された脂肪により、筋肉の色味が透けて見えてしまっていた状態が、脂肪の押し出されが解消されることによって改善されました。
凹凸感の改善と色調が改善され、クマが解消されることで若々しいお目元に。

━━リフトアップ・目元整形で選ばれています━━
◆テスリフト(糸リフト) 関西No.2
 (SBC内症例数 2025年上半期)
◆眉下リフト (眉下切開)関西No.2
 (SBC内症例数 2023年上半期)
◆目頭切開プレミアム 西日本No.1
 (SBC内症例数 2023年下半期〜2024年上半期)
━━━━━━━━━━━━━━━━━━━━━━━
ご指名・ご相談・お見積りは全て無料です。
ぜひお気軽にご相談くださいませ!

京都駅直結【湘南美容クリニック 京都駅ビル院】で
お待ちしております♪



×

当院におけるワクチン接種後の治療間隔(ガイドライン)

美容皮膚科、美容外科小手術

前後3日(手術日は含まず)、自覚する副反応がなければ可
安心麻酔を使用するものは接種後1週間は空ける

美容外科中、大手術

前後1週間
副反応が残っている場合は延期
接種部位と手術部位が同じ場合は2週間は空ける