症例写真(No.361566)

当院の症例写真は、画像処理により形や大きさをかえるような処理は一切おこなっておりません。

吉田祥啓 医師

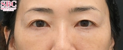
No.361566【若返り】目元の若返りで疲れ顔から卒業!東海地方で若返るなら口コミ・SNSで指名多数のあき先生にお任せください!【術後1ヶ月】

施術前

施術前・目の下のクマが目立つ状態
→

施術後1ヶ月後

1ヶ月後・ノーメイク 目元が格段に若返りました
すべての画像を見る

施術した院

部位

施術

施術回数

数量

性別

関連症例写真

1週間目のダウンタイム
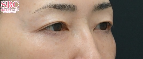
施術前・斜め
1ヶ月後・斜め
施術前・斜め
1ヶ月後・斜め

施術担当者からのコメント

裏ハムラ法のモニター様の1ヶ月目の経過です。
1ヶ月で内出血などもなく自然に若返りました。

この方のように皮膚のたるみは少ないが、脂肪の突出と深いティアトラフ(ハの字の溝)がある方は
脱脂(目の下の切らないクマ取り)と脂肪注入だけでは膨らみは改善されても
ティアトラフ(ハの字の溝)は綺麗になりません。
こういった方には脱脂ではなく裏ハムラ法が適しています。

【裏ハムラ法とは】
目の下の脂肪を取るのではなく、膨らんでいるところから窪んでいるところに移動させ、美しく整える方法です。
裏ハムラ法では下まぶたの裏側を切開して施術を行うため、
表面に傷が残ることはなく、外から見ても傷跡はわかりません。

詳しい説明は是非カウンセリングにお越しください。

【instagram更新中】
@sbc_a.yoshida
インスタグラムではリアルタイムで沢山の症例写真や施術動画をあげています!



×

当院におけるワクチン接種後の治療間隔(ガイドライン)

美容皮膚科、美容外科小手術

前後3日(手術日は含まず)、自覚する副反応がなければ可
安心麻酔を使用するものは接種後1週間は空ける

美容外科中、大手術

前後1週間
副反応が残っている場合は延期
接種部位と手術部位が同じ場合は2週間は空ける

×

お急ぎの方はお電話ください

0120-489-100

受付時間 / 10:00~23:00