お急ぎの方はお電話ください
WEB予約
メンズ専用
LINE登録
オンラインストア
SBC公式アプリ
SBC 採用サイト
医療機関検索サイトアイメッド
定額制セルフエステ
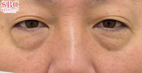
当院の症例写真は、画像処理により形や大きさをかえるような処理は一切おこなっておりません。
上岡利一 医師
施術前
施術後1ヶ月後
施術した院
部位
施術
施術回数
数量
性別
ご覧頂きありがとうございます。蒲田院院長の上岡利一です。私は全国の湘南美容クリニックの中でも特に症例数が豊富で、数多の手術・処置を毎日担当しております。ひとりひとりに寄り添ったカウンセリング、圧倒的な技術力で、あなたの理想に近づくお手伝いをさせて頂きます。ぜひお気軽に無料カウンセリングへお越しください!☆SNSからのご指名多数☆目の下のクマ・たるみ取り、脂肪吸引、豊胸などを中心に毎日情報を発信しております。最新のモニター情報も要チェック!☆リーチ先生のSNSはこちら☆\症例写真を多数掲載!/・Instagram@sbc_kamioka\使える美容医療の知識を発信!/・Tiktok@sbc_kamioka
前後3日(手術日は含まず)、自覚する副反応がなければ可安心麻酔を使用するものは接種後1週間は空ける
前後1週間副反応が残っている場合は延期接種部位と手術部位が同じ場合は2週間は空ける
0120-489-100
受付時間 / 10:00~23:00
施術担当者からのコメント
ご覧頂きありがとうございます。
蒲田院院長の上岡利一です。
私は全国の湘南美容クリニックの中でも特に症例数が豊富で、
数多の手術・処置を毎日担当しております。
ひとりひとりに寄り添ったカウンセリング、圧倒的な技術力で、あなたの理想に近づくお手伝いをさせて頂きます。
ぜひお気軽に無料カウンセリングへお越しください!
☆SNSからのご指名多数☆
目の下のクマ・たるみ取り、脂肪吸引、豊胸などを中心に毎日情報を発信しております。
最新のモニター情報も要チェック!
☆リーチ先生のSNSはこちら☆
\症例写真を多数掲載!/
・Instagram
@sbc_kamioka
\使える美容医療の知識を発信!/
・Tiktok
@sbc_kamioka