お急ぎの方はお電話ください
WEB予約
メンズ専用
LINE登録
オンラインストア
SBC公式アプリ
SBC 採用サイト
医療機関検索サイトアイメッド
定額制セルフエステ
当院の症例写真は、画像処理により形や大きさをかえるような処理は一切おこなっておりません。
白木巧 医師
施術前
施術後3ヶ月後
施術した院
部位
施術
施術回数
数量
性別
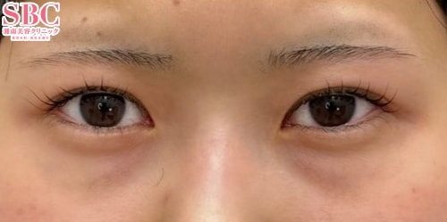
経結膜脱脂術ビフォーアフター。脱脂のみの場合、ダウンタイムは1週間ほどでほぼ落ち着きます。若くてもクマが目立つ方はいますね。目の下の"ハの字"が強くなければクマ取りだけで良いですが、ハの字が強い場合には「ミニ裏ハムラ」「裏ハムラ」あたりを検討すると良いでしょう。また、チークトップが下がってゴルゴ線が目立つ場合には脂肪注入を検討した方が良いです。ご自身がどの術式が合っているかはカウンセリングでお話できますので気軽にご相談ください。カウンセリングは無料です。・・・・・・・・・・・・・・・・・はじめまして。浜松で美容外科医をしています。目の下のクマ治療を専門的に行っており、脂肪の状態・骨格・皮膚の厚みまで確認した上で、最適な方法をご提案しています。元外科医として命に関わる医療に携わってきましたが、今は美容医療を通して「疲れて見える」「老けて見える」といったお悩みを根本から改善するお手伝いをしています。クマ治療で大切にしているのは、「本当に脱脂だけでいいのか」「脂肪を取るべきか、残すべきか」を一人ひとり丁寧に見極めること。無理に手術を勧めることはありません。迷っている段階でも大丈夫です。あなたの目元にとっての“ちょうどいい答え”を、一緒に考えます。ーーー白木先生が選ばれる理由ーーー・外科専門医として乳腺外科含む全身麻酔手術1500件以上の経験・ミリ単位の操作が求められる腹腔鏡手術で培った繊細な技術・多数の学会発表・論文執筆を行い、常に知識をアップデート・技術 × 知識 × 安全性を重視したクマ治療・丁寧なカウンセリングで、一人ひとりに最適な方法をご提案まずはカウンセリングでご相談ください。−−−−−−−−−−−−@湘南美容クリニック浜松院JR浜松駅から徒歩5分・遠鉄百貨店 新館8階0120-966-670
前後3日(手術日は含まず)、自覚する副反応がなければ可安心麻酔を使用するものは接種後1週間は空ける
前後1週間副反応が残っている場合は延期接種部位と手術部位が同じ場合は2週間は空ける
0120-489-100
受付時間 / 10:00~23:00
施術担当者からのコメント
経結膜脱脂術ビフォーアフター。
脱脂のみの場合、ダウンタイムは1週間ほどでほぼ落ち着きます。
若くてもクマが目立つ方はいますね。
目の下の"ハの字"が強くなければクマ取りだけで良いですが、ハの字が強い場合には「ミニ裏ハムラ」「裏ハムラ」あたりを検討すると良いでしょう。また、チークトップが下がってゴルゴ線が目立つ場合には脂肪注入を検討した方が良いです。
ご自身がどの術式が合っているかはカウンセリングでお話できますので気軽にご相談ください。
カウンセリングは無料です。
・・・・・・・・・・・・・・・・・
はじめまして。浜松で美容外科医をしています。
目の下のクマ治療を専門的に行っており、脂肪の状態・骨格・皮膚の厚みまで確認した上で、最適な方法をご提案しています。
元外科医として命に関わる医療に携わってきましたが、
今は美容医療を通して「疲れて見える」「老けて見える」といったお悩みを根本から改善するお手伝いをしています。
クマ治療で大切にしているのは、
「本当に脱脂だけでいいのか」
「脂肪を取るべきか、残すべきか」
を一人ひとり丁寧に見極めること。
無理に手術を勧めることはありません。
迷っている段階でも大丈夫です。
あなたの目元にとっての“ちょうどいい答え”を、一緒に考えます。
ーーー白木先生が選ばれる理由ーーー
・外科専門医として乳腺外科含む全身麻酔手術1500件以上の経験
・ミリ単位の操作が求められる腹腔鏡手術で培った繊細な技術
・多数の学会発表・論文執筆を行い、常に知識をアップデート
・技術 × 知識 × 安全性を重視したクマ治療
・丁寧なカウンセリングで、一人ひとりに最適な方法をご提案
まずはカウンセリングでご相談ください。
−−−−−−−−−−−−
@湘南美容クリニック浜松院
JR浜松駅から徒歩5分・遠鉄百貨店 新館8階
0120-966-670