お急ぎの方はお電話ください
WEB予約
メンズ専用
LINE登録
オンラインストア
SBC公式アプリ
SBC 採用サイト
医療機関検索サイトアイメッド
定額制セルフエステ
当院の症例写真は、画像処理により形や大きさをかえるような処理は一切おこなっておりません。
五十嵐寿紀 医師
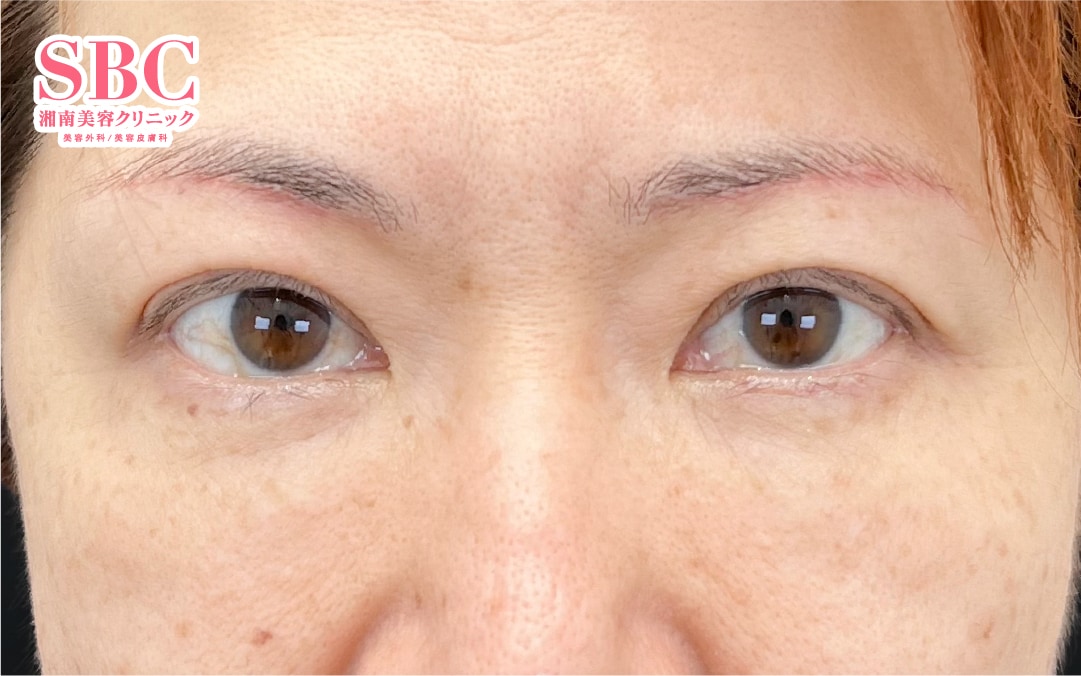
施術前
施術後3ヶ月後
施術後1ヶ月後
すべての画像を見る
施術した院
部位
施術
施術回数
数量
性別
五十嵐先生の若返りは「整形した感ゼロ」の綺麗な仕上がり目元・小顔施術ともに指名のお客様が急増中!!人から「疲れてない?」と言われたことありませんか?五十嵐先生のクマ取りで疲れ目を卒業しませんか?【Instagramでも綺麗な症例写真を随時投稿中】Instagram @sbc_t.igarashiTikTok @sbc_t.igarashi
前後3日(手術日は含まず)、自覚する副反応がなければ可安心麻酔を使用するものは接種後1週間は空ける
前後1週間副反応が残っている場合は延期接種部位と手術部位が同じ場合は2週間は空ける
施術担当者からのコメント
五十嵐先生の若返りは「整形した感ゼロ」の綺麗な仕上がり
目元・小顔施術ともに指名のお客様が急増中!!
人から「疲れてない?」と言われたことありませんか?
五十嵐先生のクマ取りで疲れ目を卒業しませんか?
【Instagramでも綺麗な症例写真を随時投稿中】
Instagram @sbc_t.igarashi
TikTok @sbc_t.igarashi