お急ぎの方はお電話ください
WEB予約
メンズ専用
LINE登録
オンラインストア
SBC公式アプリ
SBC 採用サイト
医療機関検索サイトアイメッド
定額制セルフエステ
当院の症例写真は、画像処理により形や大きさをかえるような処理は一切おこなっておりません。
古澤雅史 医師
施術前
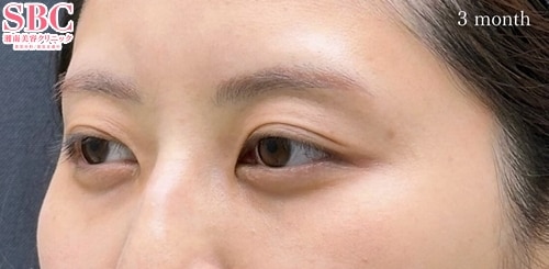
施術後3ヶ月後
施術した院
部位
施術
施術回数
数量
性別
目の下の切らないクマ・たるみ(ふくらみ)取り・脂肪注射部門でプレミアムドクター(厳選医師)に選ばれております!施術名:目の下の切らないクマ たるみ取り 両目ナチュラル脂肪注射 コンデンスリッチ(目の下+ゴルゴ線)ナチュラル脂肪注射 ナノリッチ(目の下)※副作用(リスク)腫れ、内出血、血腫、左右差目の下のクマは“目の下の切らないたるみ取り”で解決できます!脂肪を取った後は窪んでしまう事が多いので「脂肪注入」を組み合わせて行うことで窪みの改善だけでなく、小じわの予防や改善にも効果的です!■目の下の切らないクマ・たるみ(ふくらみ)取りについて目の下のふくらみの原因である「眼窩脂肪」を、お顔の表面に傷をつけずに除去する施術です。■ナチュラル脂肪注射 コンデンスリッチについてご自身の脂肪を採取し、お顔のくぼみやボリュームダウンしてしまったところに注入し、ふっくらと健康的で若々しい印象を作る施術です。若返り目的だけでなく、美しいフェイスラインをつくるために、施術を受ける方も多いです。■Dr.古澤が選ばれる理由私が、6年連続で若返り施術で日本一を取り続けたのには、理由があります。クマ治療厳選医師でもあり、美容外科歴17年以上の経歴から得たデザイン力×技術×知識×経験です。お客様の希望を限りなく叶えるため、一切の妥協はしません。どのドクターよりも時間をかけ、丁寧に、そして、お客様が納得行くまでデザイン〜施術をしてます。究極に計算し尽くされた美容整形は私にお任せください!○目の下の切らないクマ たるみ取り(麻酔込)通常 158,200円→ 110,740円(税込)○コンデンスリッチ作成料通常 99,000円→ 69,300円(税込)○ナチュラル脂肪注射コンデンスリッチ(目の下+ゴルゴ線)通常 148,500円→ 103,900円(税込)○ナノリッチ作成料通常 196,780円→ 137,740円(税込)◯ナチュラル脂肪注射 ナノリッチ(目の下)通常 99,000円→ 69,300円(税込)詳しくは無料カウンセリングでご相談ください!
前後3日(手術日は含まず)、自覚する副反応がなければ可安心麻酔を使用するものは接種後1週間は空ける
前後1週間副反応が残っている場合は延期接種部位と手術部位が同じ場合は2週間は空ける
0120-489-100
受付時間 / 10:00~23:00
施術担当者からのコメント
目の下の切らないクマ・たるみ(ふくらみ)取り・脂肪注射部門でプレミアムドクター(厳選医師)に選ばれております!
施術名:
目の下の切らないクマ たるみ取り 両目
ナチュラル脂肪注射 コンデンスリッチ(目の下+ゴルゴ線)
ナチュラル脂肪注射 ナノリッチ(目の下)
※副作用(リスク)
腫れ、内出血、血腫、左右差
目の下のクマは
“目の下の切らないたるみ取り”で解決できます!
脂肪を取った後は窪んでしまう事が多いので「脂肪注入」を組み合わせて行うことで窪みの改善だけでなく、小じわの予防や改善にも効果的です!
■目の下の切らないクマ・たるみ(ふくらみ)取りについて
目の下のふくらみの原因である「眼窩脂肪」を、お顔の表面に傷をつけずに除去する施術です。
■ナチュラル脂肪注射 コンデンスリッチについて
ご自身の脂肪を採取し、お顔のくぼみやボリュームダウンしてしまったところに注入し、ふっくらと健康的で若々しい印象を作る施術です。若返り目的だけでなく、美しいフェイスラインをつくるために、施術を受ける方も多いです。
■Dr.古澤が選ばれる理由
私が、6年連続で若返り施術で日本一を取り続けたのには、理由があります。
クマ治療厳選医師でもあり、美容外科歴17年以上の経歴から得たデザイン力×技術×知識×経験です。
お客様の希望を限りなく叶えるため、一切の妥協はしません。
どのドクターよりも時間をかけ、丁寧に、そして、お客様が納得行くまでデザイン〜施術をしてます。
究極に計算し尽くされた美容整形は私にお任せください!
○目の下の切らないクマ たるみ取り(麻酔込)
通常 158,200円→ 110,740円(税込)
○コンデンスリッチ作成料
通常 99,000円→ 69,300円(税込)
○ナチュラル脂肪注射コンデンスリッチ(目の下+ゴルゴ線)
通常 148,500円→ 103,900円(税込)
○ナノリッチ作成料
通常 196,780円→ 137,740円(税込)
◯ナチュラル脂肪注射 ナノリッチ(目の下)
通常 99,000円→ 69,300円(税込)
詳しくは無料カウンセリングでご相談ください!