症例写真(No.362136)

当院の症例写真は、画像処理により形や大きさをかえるような処理は一切おこなっておりません。

高山真実 医師

No.362136【若返り】【若返り】【クマ治療】【ダウンタイム公開】最小限のダウンタイムを実感!【池袋東口院】高山Drクマ取り治療★

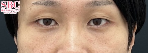
施術前

目の下のくぼみが目立ちます。
→

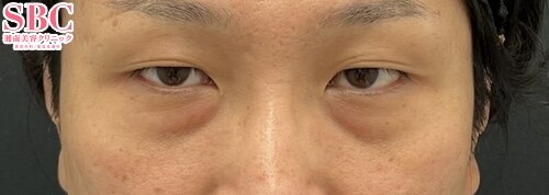
施術後1週間後

最小限のダウンタイムでここまで若々しくなります。
→

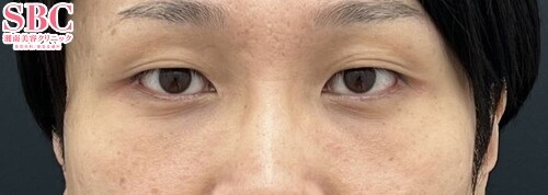
施術後1ヶ月後

くぼみがなくなり、年齢よりも若々しい印象に変わりました。

すべての画像を見る

施術した院

部位

施術

施術回数

数量

性別

関連症例写真

術前
術後1週間
術後1ヶ月
術後3ヶ月

施術担当者からのコメント

【◎40代男性◎疲れて見えるクマがここまで改善】

ご紹介するお客様は40代男性の方です。

以前から目の下のクマやくぼみが気になっており、
「疲れて見える」「実年齢より老けて見られる」と言われることが増えてきたそうです。

仕事でも人と会う機会が多く、清潔感のある印象を保ちたいという思いから、今回クマ治療を決心されました。

今回受けられた施術は
切らないクマ取り(経結膜的脱脂)+目の下への脂肪注入です。
手術直後、1週間後、3ヶ月後の写真をご覧ください。

今回のケースでは、ダウンタイムは非常に軽く、
内出血はほとんど見られませんでした。

1週間時点では軽いむくみが見られましたが、経過はとても順調で、
3ヶ月後にはむくみも落ち着き、クマやくぼみが自然に改善された非常にきれいな仕上がりとなっています。

脂肪を適切に補うことで、
単にクマを取るだけでなく、やつれた印象を防ぎ、自然なハリのある目元に整えることができます。

クマが改善されることで、
「疲れて見える」「不機嫌そうに見える」といった印象がなくなり、
清潔感があり、若々しく健康的な目元に変化しています。

クマ取り手術は、診断とデザインで結果の8割が決まる施術です。

脂肪の量、くぼみの深さ、骨格、皮膚の状態、年齢変化などを正確に見極め、
「どこを取るのか」「どこにボリュームを補うのか」を間違えないことが、自然な仕上がりには非常に重要です。

私はカウンセリングにしっかり時間をかけ、
お客様一人ひとりの状態に合わせて、自然で清潔感のある若返りをご提案しています。

美容医療は、単に見た目を変えるだけではなく、
自信を取り戻し、その自信が表情や日常の振る舞いにも良い変化をもたらすものだと考えています。

目元が変わるだけで、印象は大きく変わります。
ぜひ一緒に、自然で若々しい目元を作っていきましょう。

?

◎切らないクマ取り+脂肪注入◎
・切開せずクマの原因となる脂肪を除去
・くぼみや影クマを自然に改善
・ハリのある若々しい目元に

【こんな方におすすめ】
・クマや目の下のくぼみが気になる方
・疲れて見られる印象を改善したい方
・自然な若返りを希望される方

心よりご来院をお待ちしております。
詳細は下記のInstagram・YouTubeもぜひご覧ください。



×

当院におけるワクチン接種後の治療間隔(ガイドライン)

美容皮膚科、美容外科小手術

前後3日(手術日は含まず)、自覚する副反応がなければ可
安心麻酔を使用するものは接種後1週間は空ける

美容外科中、大手術

前後1週間
副反応が残っている場合は延期
接種部位と手術部位が同じ場合は2週間は空ける

×

お急ぎの方はお電話ください

0120-489-100

受付時間 / 10:00~23:00