お急ぎの方はお電話ください
WEB予約
メンズ専用
LINE登録
オンラインストア
SBC公式アプリ
SBC 採用サイト
医療機関検索サイトアイメッド
定額制セルフエステ
当院の症例写真は、画像処理により形や大きさをかえるような処理は一切おこなっておりません。
古澤雅史 医師
施術前
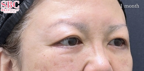
施術後1ヶ月後
施術した院
部位
施術
施術回数
数量
性別
目の下の切らないクマ、たるみ(ふくらみ)取り・脂肪注射部門で厳選医師に選ばれております!施術名:切開ハムラ法 両目【症例解説】50代女性です。目の下のクマ、たるみ、膨らみが気になるというご相談でした。皮膚のたるみもかなりあったため、今回は切開ハムラ法で施術しました。キズも綺麗です!綺麗な仕上がりに大変満足いただけました!※副作用(リスク)腫れ、内出血、血腫、左右差■料金&モニター割当院では、モニターの方を募集しております。○切開ハムラ法両目通常 380,000円→ 266,000円(税込)■各種SNSのフォローもお願いします(^ ^)若返りインスタグラム→@sbc_furusawa1978目元インスタグラム→@sbc_eye_furusawa鼻インスタグラム→@sbc_nose_furusawa
前後3日(手術日は含まず)、自覚する副反応がなければ可安心麻酔を使用するものは接種後1週間は空ける
前後1週間副反応が残っている場合は延期接種部位と手術部位が同じ場合は2週間は空ける
0120-489-100
受付時間 / 10:00~23:00
施術担当者からのコメント
目の下の切らないクマ、たるみ(ふくらみ)取り・脂肪注射部門で厳選医師に選ばれております!
施術名:
切開ハムラ法 両目
【症例解説】
50代女性です。
目の下のクマ、たるみ、膨らみが気になるというご相談でした。
皮膚のたるみもかなりあったため、今回は切開ハムラ法で施術しました。
キズも綺麗です!綺麗な仕上がりに大変満足いただけました!
※副作用(リスク)
腫れ、内出血、血腫、左右差
■料金&モニター割
当院では、モニターの方を募集しております。
○切開ハムラ法両目
通常 380,000円→ 266,000円(税込)
■各種SNSのフォローもお願いします(^ ^)
若返りインスタグラム→@sbc_furusawa1978
目元インスタグラム→@sbc_eye_furusawa
鼻インスタグラム→@sbc_nose_furusawa