症例写真(No.362204)

当院の症例写真は、画像処理により形や大きさをかえるような処理は一切おこなっておりません。

澁川直彦 医師

No.362204【若返り】【形成外科専門医おしぶ先生が執刀】切開(表)ハムラ法による目元の若返り術!目元の若返りなら澁川医師にお任せください

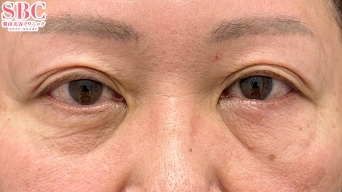
施術前

術前です。
→

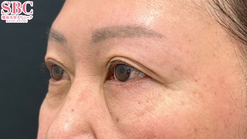
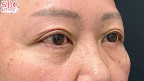
施術後1ヶ月後

1ヶ月後です。傷跡は目立っている時期です。
すべての画像を見る

施術した院

部位

施術

施術回数

数量

性別

関連症例写真

術前
1ヶ月後
術前
1ヶ月後
術前
1ヶ月後

施術担当者からのコメント

今回は50代女性で目元の若返り手術を受けていただいたモニター様です。
目元のたるみ・クマのために実年齢以上に見られてしまうことや常に疲れて見えてしまうことがお悩みでした。
今回は様々あるクマ治療の中から最適な表(切開)ハムラ法による施術を選択しました。
老けた印象を与えるたるんだ皮膚を切除し、膨らみの原因である眼窩脂肪を移動させることで目元の印象を改善しました。
目元が変わると顔全体が若返った印象となりますね。
この方も手術後ご満足いただき回りから若返ったねと褒めてもらえたそうです。
瞼・目元は10代から60代を超えてどの世代の方も気になる部分かと思います。
瞼・目元の若返り手術には種類がたくさんあります。
様々な施術の中からお客様のご希望に応じて最大限の魅力を引き出すためのご提案をさせていただきます。
いくつかの施術を組み合わせて行うことで自然でハリのある若々しい目元へ導きます。
まぶた・目元でお悩みを抱えている方は一度、無料カウンセリングにお越しください。
形成外科専門医である私がご希望に応じて最適な施術をご提案させていただきます。

Instagramにも目元の症例写真やお得なモニター情報をたくさんアップしておりますので是非チェックしてください!
https://www.instagram.com/sbc_shibukawa/
私が目元整形で選ばれる理由
・形成外科専門医として培った経験と技術力で一人一人に似合う施術の提案を行います。
・手術前のデザインは妥協なく時間をかけて丁寧に行います。
・目元のクマ治療の他にも全切開二重術や眼瞼下垂、眉下リフト、目頭切開、目尻拡大術など目周りの手術を得意としております。

★モニター応募はこちら★
【モニター番号 No.0162-0098】
モニター応募リンク→https://www.s-b-c.net/k_campaign/campaign162-0098.html
※お電話でご予約の際は、上記のモニター番号をお伝えください。
※モニターには医師の審査がございます。

お得なモニターを募集しておりますので、ぜひご利用下さい。
期間限定・人数限定のお得なモニターもありますのでお見逃しなく!



×

当院におけるワクチン接種後の治療間隔(ガイドライン)

美容皮膚科、美容外科小手術

前後3日(手術日は含まず)、自覚する副反応がなければ可
安心麻酔を使用するものは接種後1週間は空ける

美容外科中、大手術

前後1週間
副反応が残っている場合は延期
接種部位と手術部位が同じ場合は2週間は空ける

×

お急ぎの方はお電話ください

0120-489-100

受付時間 / 10:00~23:00