症例写真(No.362592)

当院の症例写真は、画像処理により形や大きさをかえるような処理は一切おこなっておりません。

吉田祥啓 医師

No.362592【若返り】【切開ハムラ・60代女性】目元の若返りで疲れ顔から卒業!東海地方で若返るなら口コミ・SNSで指名多数のあき先生にお任せください!【術後3ヶ月】

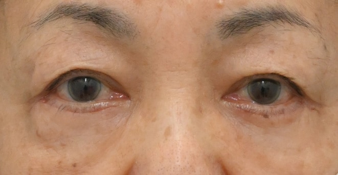
施術前

施術前・大きな膨らみグマが目立ちます
→

施術後3ヶ月後

ノーメイク・見た目年齢-10歳以上の若返りを実現
すべての画像を見る

施術した院

部位

施術

施術回数

数量

性別

関連症例写真

正面・1週間後
正面・1ヶ月後
斜め・術前
斜め・3ヶ月後

施術担当者からのコメント

大きな膨らみのクマが目立つ60代女性のモニター様です。
脂肪の膨らみもありますが、皮膚の余りがかなり大きいので
脱脂(切らないクマ取り)や脂肪注入ではこのタイプのクマは
脱脂で膨らみがなくりそこから脂肪注入をしても皮膚の余りが多いため弛んだ目元になってしまいます。

こういった大きな膨らみ+皮膚の余りが多いタイプのクマは
下まつ毛のキワを数ミリ切開して皮膚の余りを切除し、
靭帯を剥離させて脂肪の移動を行う【切開ハムラ】で執刀をするのがベストです。

切開と聞くと傷跡が気になる方が多いと思いますが、
まつ毛のラインに切開を行うので
3ヶ月経てばほとんど自分でもわからないレベルに馴染みます。
本来、皮膚の余りをとっても小皺が気になってしまう方が多いため
ナノリッチという細かい脂肪を注入すると術後の小ジワも改善されるのですが、
今回はお客様のご希望で切開ハムラのみ行なっています。

詳しい説明は是非カウンセリングにお越しください。
【instagram更新中】
@sbc_a.yoshida
インスタグラムではリアルタイムで沢山の症例写真や施術動画をあげています



×

当院におけるワクチン接種後の治療間隔(ガイドライン)

美容皮膚科、美容外科小手術

前後3日(手術日は含まず)、自覚する副反応がなければ可
安心麻酔を使用するものは接種後1週間は空ける

美容外科中、大手術

前後1週間
副反応が残っている場合は延期
接種部位と手術部位が同じ場合は2週間は空ける

×

お急ぎの方はお電話ください

0120-489-100

受付時間 / 10:00~23:00