お急ぎの方はお電話ください
WEB予約
メンズ専用
LINE登録
オンラインストア
SBC公式アプリ
SBC 採用サイト
医療機関検索サイトアイメッド
定額制セルフエステ
当院の症例写真は、画像処理により形や大きさをかえるような処理は一切おこなっておりません。
櫻井将継 医師
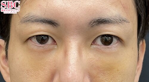
施術前
施術後3ヶ月後
施術した院
部位
施術
施術回数
数量
性別
こちらのお客さまは30代後半の男性です。笑った時や表情を動かした時にクマが目立ちやすいので、ティアトラフリガメントの影響が強いといえます。内側〜中央あたりの処理が非常に重要となりますので、裏ハムラ法で脂肪をしっかり凹みに移動させます。裏ハムラ法単体でここまでキレイに仕上げることができます。【裏ハムラ法とは?】目の下のクマの原因である「脂肪の量」と「靭帯」の処理をすることで、ほほを滑らかにして若返らせる治療です。『裏ハムラ法』は「脂肪の量」のみを改善する『脱脂術』に比べて、再発が少なく、凹みまで改善することができます。ダウンタイムの少なさは丁寧な処置によるものでもあります。脱脂術、脂肪注入、裏ハムラ、切開ハムラなど、湘南美容クリニックのクマのメニューすべてに対応することが可能です。クマ治療なら八王子院院長のサクライにお任せ下さい。
前後3日(手術日は含まず)、自覚する副反応がなければ可安心麻酔を使用するものは接種後1週間は空ける
前後1週間副反応が残っている場合は延期接種部位と手術部位が同じ場合は2週間は空ける
0120-489-100
受付時間 / 10:00~23:00
施術担当者からのコメント
こちらのお客さまは30代後半の男性です。
笑った時や表情を動かした時にクマが目立ちやすいので、ティアトラフリガメントの影響が強いといえます。
内側〜中央あたりの処理が非常に重要となりますので、裏ハムラ法で脂肪をしっかり凹みに移動させます。
裏ハムラ法単体でここまでキレイに仕上げることができます。
【裏ハムラ法とは?】
目の下のクマの原因である「脂肪の量」と「靭帯」の処理をすることで、ほほを滑らかにして若返らせる治療です。
『裏ハムラ法』は「脂肪の量」のみを改善する『脱脂術』に比べて、再発が少なく、凹みまで改善することができます。
ダウンタイムの少なさは丁寧な処置によるものでもあります。
脱脂術、脂肪注入、裏ハムラ、切開ハムラなど、湘南美容クリニックのクマのメニューすべてに対応することが可能です。
クマ治療なら八王子院院長のサクライにお任せ下さい。